![]() |
|
| Appunti superiori |
|
| Visite: 2574 | Gradito: |
Leggi anche appunti:CitologiaCitologia La CITOLOGIA è la scienza che studia la cellula. La CLOROFILLA - Biochimica, FarmacologiaClorofilla Biochimica La clorofilla si trova, in natura, nella Terreni di colturaTERRENI DI COLTURA La coltivazione dei batteri in laboratorio richiede l'impiego |
![]() |
![]() |
I TEST DI MUTAGENESI
L'utilizzo dei cosiddetti test di mutagenesi ( test che rilevano a vari livelli il danno causato dagli agenti mutageni al DNA) è divenuto OBBLIGATORIO PER LEGGE per lo screening preventivo e l'autorizzazione all'immissione sul mercato di sostanze di sintesi e specialmente per i farmaci.
Un campo in forte espansione è quello dell'eco tossicologia genetica: ovvero l'applicazione dei test di mutagenesi alla rilevazione di sostanze potenzialmente mutagene (quindi dannose) presenti spesso in miscele complesse o onde nell' ambiente di vita, sia esterno( aria, acqua, suolo.) che interno (aree abitative, ambienti di lavoro.).
Si riporta di seguito la definizione di miscela complessa data dall'EPA statunitense (US Environmental Protection Agency): 'Una miscela contenente così tanti componenti che una stima della sua tossicità basata sulle tossicità dei singoli componenti contiene troppa incertezza ed errore per poter essere utile. La composizione chimica può variare nel tempo e/o a seconda delle differenti condizioni in cui la miscela è prodotta. Le stime del rischio delle miscele complesse dovrebbero basarsi sui dati di tossicità e di esposizione dell'intera miscela. La benzina è un esempio.'
Quindi: le equipe di studiosi e scienziati di mutagenesi ambientale si prefiggono come scopo, attraverso test sperimentali, la caratterizzazione del rischio mutageno/cancerogeno cui la popolazione (animale, vegetale. ) è sottoposta, a seguito dell'esposizione cronica agli inquinanti presenti nelle miscele ambientali (presenti nell' aria, nell' acqua o nel suolo) spesso a concentrazioni basse (anche al di sotto dei limiti di rilevabilità strumentale) prevedendone l'analisi delle potenzialità mutagene non solo delle singole molecole ma anche, ed in special modo, delle miscele complesse in toto.
TEST DI AMES
Il test di Ames, ideato da Bruce Ames nel 1973, è un test genetico per l'analisi della genotossicità di una sostanza, molto utilizzato ad esempio in ambito biomedico e farmaceutico-industriale nella sperimentazione di nuove molecole da sintetizzare e per analisi ambientali.
Il principio del test si basa sulla valutazione della capacità di un sospetto mutageno di provocare la reversione di un carattere auxotrofo in un ceppo di batteri mutato (Salmonella typhimurium), rendendolo nuovamente capace di sopravvivere in un terreno privo di istidina.
Il test per una sostanza viene sempre condotto in parallelo su differenti ceppi di Salmonella, in cui l'auxotrofia è dovuta a differenti tipi di mutazioni (mutazioni puntiformi di diverso tipo, o mutazioni di frameshift come inserzioni o delezioni) per individuare il tipo di effetto causato al DNA.
Limiti del test
Il limite principale del test, così descritto, è l'impossibilità di valutare l'effetto genotossico dei promutageni, ovvero sostanze che non presentano una proprio effetto mutageno, ma diventano tossiche a seguito del metabolismo subito negli organismi superiori; esempi di queste sostanze sono gli idrocarburi aromatici o le ammine aromatiche.
Essendo condotto in cellule batteriche, il test di Ames non consente di valutare la capacità dei mutageni di alterare la struttura cromosomica del DNA umano, per cui non può da solo costituire un elemento sufficiente di valutazione del rischio genotossico, ma va eseguito insieme a test su cellule eucariotiche (come il test dei micronuclei) e su animali in vivo. Vi è comunque una buona correlazione fra l'effetto mutageno riscontrato nel test di Ames e la cancerogeneità della sostanza negli organismi superiori nella rispettiva catena trofica.
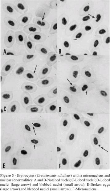
TEST DEL MICRONUCLEO
I micronuclei sono frammenti di cromosoma o cromosomi interi che non vengono incorporati nel nucleo durante la mitosi. Durante la divisione cellulare i cromosomi sono trascinati verso i due polidella cellula stessa dalle fibrille. Se il DNA è rotto il cromosoma non ha più il centromero in grado di attaccarsi alle fibre. Il DNA danneggiato rimane quindi al di fuori del nucleo principale e forma uno o più micronuclei. I micronuclei si formano sia per rottura del singolo filamento che per rottura del doppio filamento
E' un saggio utilizzato per la valutazione delle aberrazioni cromosomiche che può essere effettuato sia in vitro sia in in vivo.
Qui illustrato, il risultato di una prova di test di micronuclei:

TEST DI GENOTOSSICITA' PER IL MONITORAGGIO DELL'AMBIENTE
Oltre che sulle singole sostanze, è possibile effettuare test di mutagenesi anche su matrici ambientali: si tratta cioè di valutare il potere mutageno non di una singola sostanza ma di un intero ambiente inquinato e che effetti ha sulla salute umana.
Si possono individuare due grandi categorie di test:
test in situ, ovvero effettuati sul posto, che sono quindi più significativi perché, generalmente, non necessitano campionamento e sono più diretti;
test ex situ, ovvero effettuati in laboratorio su campioni prelevati dall'ambiente, che hanno il vantaggio di essere svolti avendo a disposizione tutto il necessario per il corretto svolgimento di analisi anche complesse, che richiedono strumenti non facilmente trasportabili.
Nell'aria, i principali mutageni si trovano, aggregati tra loro, nel particolato atmosferico.
L'aria urbana ed in specifico il particolato atmosferico sono un tipico esempio di miscela complessa Le aree urbane manifestano maggiori problemi di inquinamento a causa dell'enorme quantità di sorgenti (come ad esempio il traffico autoveicolare) su un territorio relativamente ristretto e della presenza, in tale territorio, di un gran numero di persone esposte a rischio (dovuto alla grande densità demografica delle odierne metropoli.
L'associazione tra diverse concentrazioni di materiale particellare (chiamato PM) e gli effetti sulla salute umana sono stati ben studiati nel corso degli ultimo trent'anni. Il materiale particellare infatti merita particolare attenzione in quanto funge da assorbente , da catalizzatore e, quindi, da veicolo in grado di portare all'interno del nostro organismo i contaminanti presenti nell'aria (chiamati aerodispersi) E' stato dimostrato che le diverse frazioni granulometriche (cioè concentrazione in volume dell'agente inquinante), generate con meccanismi chimico-fisici differenti, si distribuiscono nell'apparato respiratorio a diversi livelli a seconda delle dimensioni.
quelle più fini raggiungono addirittura gli alveoli polmonari.
E' quindi necessario campionare questo particolato ( o materiale particellante) per poi svolgere delle analisi di controllo genotossico. A questo scopo si usano campionatori costituiti da filtri attraverso i quali una pompa fa passare un preciso volume d'aria: il materiale depositato sul filtro viene poi estratto in laboratorio ed analizzato con test di mutagenesi come quelli descritti sopra.
Alternativamente a questi test ex situ, è possibile effettuare test in situ usando organismi viventi (ad esempio piante) di cui si conoscono dettagli del genoma, esposti per un certo periodo di tempo all'aria in esame; al termine del periodo di test si estrae il DNA e lo si analizza, per individuare eventuali mutazioni occorse.
Anche in questo caso sono possibili test ex situ ed in situ.
Test in laboratorio(ex situ) possono essere effettuati prelevando campioni di acqua trattando con i campioni così ottenuti le colture batteriche o gli organismi sui quali si svolgeranno i test. Test in situ possono essere svolti allevando, nell'acqua sotto esame, specie acquatiche (come mitili o alcuni tipi di pesci) sulle quali poi si possano facilmente individuare eventuali mutazioni (quindi specie il cui genoma sia conosciuto e facilmente analizzabile, o specie particolarmente sensibili nelle quali sia facilmente osservabile l'insorgenza di tumori).
Per effettuare test in laboratorio, il campionamento dei suoli è uno stadio necessario e particolarmente importante. Perché il "prelevato" sia significativo di tutto il suolo in esame, occorre prelevare porzioni secondo schemi precisi che tengano in considerazione tutta l'area del terreno. un'altra fase delicata è l'estrazione degli inquinanti dal campione. Sono stati elaborati molti metodi diversi, lo scopo di questi è ottenere una soluzione nella quale gli inquinanti siano presenti non tanto con la stessa concentrazione con cui si trovano nel suolo, ma riproducendo la loro biodisponibilità, cioè la quantità con cui essi vengono assorbiti dagli organismi viventi. Su questo estratto si possono poi effettuare i test descritti precedentemente.
In alternativa si possono effettuare test con organismi superiori (ad esempio Tradescantia). Questi possono essere effettuati trapiantando piante coltivate in serra nel terreno da analizzare, o altrimenti immergendo le talee della pianta nell'estratto del terreno (ottenuto come spiegato in precedenza). Le piante possono essere analizzate con il sopraccitato test del micronucleo.
![]() |
| Appunti su: test di mutagenesi di ames, test di ames, |
|