![]() |
|
| Appunti universita |
|
| Visite: 4917 | Gradito: |
Leggi anche appunti:SutureSUTURE Con il termine suture intendiamo l' insieme dei quei mezzi tecnici AlbinismoALBINISMO Che cos'è la melanina? La melanina è il pigmento colorato della Morbo di alzheimerMORBO DI ALZHEIMER Sinonimi: Malattia di Alzheimer |
![]() |
![]() |
aNEURISMI DELL'AORTA
DeFINIZIONE
Per aneurisma dell'aorta si intende una dilatazione abnorme e permanente della parete del vaso dovuta ad un'alterazione della parete arteriosa con interruzione parziale delle sue componenti elastica e muscolare. In rapporto alle caratteristiche istologiche gli aneurismi vengono distinti in veri se sono interessati tutti e tre gli strati della parete arteriosa (intima, media, avventizia) e falsi (ematomi pulsanti) quando la dilatazione è limitata soltanto dall'avventizia o dai tessuti circostanti la parete arteriosa.
Epidemiologia
La reale prevalenza di tale patologia nella popolazione non è ancora ben conosciuta.
Recenti studi epidemiologici dimostrano che il riscontro di aneurismi dell'aorta toracica è aumentato di 3 volte negli ultimi 20 anni: l'incidenza nella popolazione di razza bianca negli USA è stimata essere 10,4 nuovi casi/100.000 persone/anno. L'aumento della vita media e la disponibilità crescente di metodiche diagnostiche non invasive sono probabilmente alla base di questo aumento.
In base alla sede si riconoscono aneurismi dell'aorta toracica (AAT), toracoaddominali (AATA) ed addominali (AAA). I primi si possono localizzare a livello dell'aorta ascendente, con eventuale interessamento della valvola aortica ( si parla in tal caso, secondo il termine coniato da Cooley, di ectasia anuloaortica, tipicamente associata alla sindrome di Marfan), a livello dell'arco o, come nel caso più frequente, dell'aorta discendente. Un AATA implica il coinvolgimento, con estensione variabile, dell'aorta toracica discendente e dell'aorta addominale. Proprio in base all'estensione, gli AATA sono stati ulteriormente classificati da Crawford : il I tipo coinvolge la metà prossimale dell'aorta discendente sino alle arterie renali; il II tipo si estende dalla metà prossimale dell'aorta discendente sino all'aorta sottorenale; il III tipo si estende dalla metà distale dell'aorta discendente sino all'aorta addominale; il IV tipo coinvolge la maggior parte dell'aorta addominale.

CLASSIFICAZIONE ANEURISMI TORACO-ADDOMINALI
Secondo la morfologia, gli aneurismi dell'aorta possono essere distinti in sacciformi e fusiformi: i primi si sviluppano a spese di una parte limitata della circonferenza del vaso e sono provvisti di un colletto attraverso il quale comunicano con il lume normale, mentre gli aneurismi fusiformi sono caratterizzati da una dilatazione circonferenziale, piuttosto regolare, che si estende lungo l'asse longitudinale del vaso.
Sono definiti, infine, dissecanti quegli aneurismi caratterizzati da un'infiltrazione ematica nella parete arteriosa che progredisce sia distalmente che prossimamente determinando la formazione di un "falso lume".
Il tratto d'aorta toracica più spesso interessato dalla dilatazione aneurismatica è l'aorta ascendente, e cioè il tratto che va dall'anulus valvolare aortico fino all'emergenza del tronco anonimo (45%). Il 35% degli aneurismi interessa l'aorta discendente, il 10% l'arco aortico ed il 10% l'aorta toraco-addominale.

Aneurisma dell'aorta ascendente
Eziopatogenesi
L'aterosclerosi è il principale fattore di rischio per gli aneurismi, in quanto, determinando un aumento dell'attività elastolitica e collagenasica dei macrofagi, provoca alterazioni strutturali importanti a carico della tunica media, la quale si riduce ad un esile strato fibroso. La parete danneggiata costituisce un "locus minoris resistentiae" che, sotto le continue sollecitazioni pressorie vasali, si dilata formando l'aneurisma.
L'ipertensione ed il fumo di sigaretta contribuiscono al processo degenerativo.
Le malattie congenite del tessuto connettivo (sindrome di Ehlers-Danlos, sindrome di Marfan ) danno caratteristicamente luogo alla medionecrosi cistica, che coinvolge l'aorta prossimale e, producendo la degenerazione delle fibre elastiche e del collagene della tunica media, può dar luogo alla formazione di aneurismi (di solito fusiformi).
Più rari sono gli aneurismi congeniti, dovuti ad una congenita fragilità della parete arteriosa spesso presente fin dalla nascita come nella malattia di Ehlers-Danlos.
Gli aneurismi micotici si instaurano in seguito ad infezioni micotiche o batteriche localizzate a livello della parete dell'aorta o di altre arterie: l'arterite transmurale che segue l'invasione del lume vasale di emboli settici, viene ritenuta responsabile della successiva dilatazione aneurismatica. Sebbene praticamente tutti i funghi o batteri patogeni possano essere coinvolti nell'eziologia aneurismatica, le Salmonelle hanno uno speciale tropismo per i tessuti vascolari.
In passato erano molto frequenti gli aneurismi di origine luetica ( attualmente molto più rari per il ridursi della incidenza di tale malattia): l'ischemia parietale prodotta dall'occlusione dei vasa vasorum in cui si localizza il Treponema Pallidum, crea aree di indebolimento focale della tunica media, in seguito a rarefazione e distruzione delle fibre elastiche e muscolari, e quindi la formazione di aneurismi sacciformi localizzati in massima parte nel tratto prossimale dell'aorta ascendente.
Gli aneurismi traumatici sono più frequentemente causati da traumi toracici chiusi e sono di solito localizzati a livello dell'aorta toracica discendente, a livello dell'istmo aortico, dove questa si fissa alla gabbia toracica posteriore, ma in genere si tratta di pseudo-aneurismi.

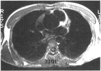
Aneurisma aortico in paziente affetto da S. di Marfan
QUADRO CLINICO
La maggior parte degli aneurismi dell'aorta ascendente sono clinicamente silenti e viene riscontrata casualmente in seguito ad esami radiologici occasionali o durante accertamenti eseguiti per altre patologie.
Quando sono presenti i sintomi soggettivi, essi sono provocati dalla compressione esercitata dall'aneurisma sulle formazioni anatomiche contigue all'aorta o dalla erosione da parte dell'aorta che si ingrandisce sulle strutture circostanti.
Negli aneurismi dell'aorta ascendente si può avere dolore precordiale che può irradiarsi al collo quando è interessato anche l'arco aortico, o negli aneurismi dell'aorta discendente, dolori al dorso dovuti alla compressione esercitata sulle vertebre toraciche, che spesso determina vere e proprie erosioni di queste ultime.
La disfagia è dovuta alla compressione dell'aneurisma sull'esofago, sintomi respiratori ( tosse, sibili, o emottisi ) sono imputabili a compressioni o erosioni tracheali o bronchiali.
La compressione del nervo ricorrente e del vago ( aneurisma dell'arco aortico) può determinare abbastanza precocemente la comparsa di turbe della fonazione (voce bitonale); può aversi anche stasi venosa nei distretti superiori per compressione della vena cava superiore.
La sindrome di Horner, una trazione o deviazione della trachea e pulsazioni anomale della parete toracica possono indicare la presenza di un aneurisma toracico.
In ogni caso, la sintomatologia si esacerba bruscamente se l'aneurisma si rompe. Il dolore al torace diventa lancinante e compaiono i segni dello shock cardiocircolatorio (cute fredda e sudata, polso piccolo e frequente, tachicardia , ipotensione arteriosa).
Diagnosi
Radiografia del torace
Molte volte è proprio un telecuore a svelare la presenza di un aneurisma dell'aorta toracica. Esso mostra un allargamento dell'ombra mediastinica che, con profilo convesso, sporge verso l'emitorace destro negli aneurismi dell'aorta ascendente e della porzione anteriore dell'arco, e verso quello sinistro negli aneurismi dell'aorta discendente e della porzione posteriore dell'arco.
Il limite dell'indagine radiologica è rappresentato dall'alto numero di falsi positivi per cui la specificità diagnostica è bassa (70-86%).

RX TORACE
Esame ecocardiografico transtoracico (EET) e transesofageo (ETE)
L'esame ecocardiografico transtoracico è utilissimo negli aneurismi dell'aorta ascendente poiché permette di evidenziare la parete aortica, le caratteristiche dell'aneurisma (sede, forma, diametro, eventuali trombi e calcificazioni endoaneurismatiche, o una eventuale dissezione), una dilatazione dei seni di Valsalva ed una eventuale insufficienza valvolare aortica associata, ma non è altrettanto accurato per gli aneurismi dell'arco e dell'aorta discendente, mentre l'ecocardiografia transesofagea è accurata nella diagnosi di entrambi ed ha una specificità pari al 97% e una sensibilità del 99%.
TC e RM
Sono metodiche sicuramente appropriate nella diagnostica degli aneurismi toracici e toracoaddominali.
La TC tradizionale è la tecnica più sensibile nell'individuazione di lesioni con componenti calcifiche. Il suo limite, in passato, era determinato dalla impossibilità di distinguere i falsi aneurismi da quelli veri, e tale ostacolo è stato superato dall'introduzione dell'ANGIO-TC in cui si utilizza un mezzo di contrasto.
Le immagini TAC forniscono informazioni dettagliate sulla sede, morfologia, dimensioni dell'aneurisma, sulla eventuale presenza di calcificazioni e trombi endoaneurismatici; permettono inoltre di cogliere i rapporti tra la sacca aneurismatica e le strutture anatomiche ad essa contigue oltre che, in caso di rottura, la sede dello stravaso ematico.

La TC spirale riesce ad ottenere una visione panoramica angiografica multiplanare o tridimensionale dell'aorta o delle arterie iliache e ciò permette una valutazione più precisa del diametro dell'aneurisma e dell'estensione del colletto aneurismatico, sede dell'eventuale clampaggio aortico. La possibilità di eseguire scansioni più sottili, con il massimo effetto contrastografico arterioso, permette inoltre una migliore valutazione dei rapporti con le maggiori branche arteriose rispetto alla TC tradizionale.
La RM, oltre alla valutazione dimensionale e morfologica dell'aorta toraco-addominale, con la sequenza cine-RM e phase-contrast è in grado di valutare eventuali stenosi o insufficienza della valvola aortica e differenziare la componente trombotica endoluminale dal flusso ematico senza infusione di mezzo di contrasto. L'intensità di segnale del trombo, nelle sequenze Spin Echo T1 e T2 , consente di evidenziare componenti trombotiche emorragiche o di deposizione recente, ( che presentano segnale iperintenso).
L'ANGIO-RM, con somministrazione di mezzo di contrasto endovena, consente di ottenere immagini angiografiche multiplanari e tridimensionali, dell'intera aorta e delle arterie iliache, in tempi di scansioni molto brevi (da 20 secondi a 3 minuti) con una buona valutazione di eventuali lesioni associate interessanti i vasi epiaortici o viscerali.
Una limitazione relativa allo studio RM è rappresentata dal paziente acuto, emodinamicamente instabile, per cui valgono le stesse considerazioni della dissezione (scarso controllo del paziente durante l'esame e necessità di apparecchiature dedicate alla valutazione della pressione arteriosa e della saturazione di ossigeno).

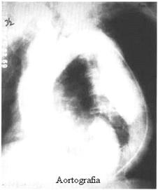
Angiografia
L'angiografia tradizionale viene associata alle metodiche precedentemente indicate, nei pazienti studiati con angio-TC o angio-RM. L'aortografia può sottostimare il diametro complessivo dell'aneurisma in quanto non permette la valutazione della componente trombotica parietale, bensì solo del lume pervio. E' utile per la valutazione di lesioni a carico di vasi epiaortici o viscerali e per la visualizzazione dei principali rami arteriosi spinali e per la valutazione dell'albero coronarico.
Con l'introduzione delle metodiche endovascolari, l'angiografia è divenuta strumento indispensabile nella valutazione dimensionale preoperatoria dell'aneurisma e dei tratti sopra e sottostante.
Gli svantaggi tuttavia correlati all'aortografia routinaria sono le possibili complicanze correlate all'utilizzo del mezzo di contrasto e le problematiche correlate al cateterismo arterioso: le complicanze da contrasto includono l'insufficienza renale acuta, le reazioni allergiche, il dolore, mentre le complicanze neurologiche sono l'ictus, la confusione mentale, le convulsioni, la cecità corticale, la nausea, la paraplegia o paraparesi. Altre complicanze possibili sono l'edema polmonare, la depressione miocardica e la febbre.
Evoluzione
La storia naturale degli aneurismi dell'aorta toracica è inesorabilmente progressiva verso la dilatazione e la rottura aortica, con una velocità di progressione che è principalmente legata alle dimensioni dell'aneurisma stesso. Il rischio di rottura a 5 anni di un aneurisma dell'aorta toracica è pari al 16% per gli aneurismi compresi tra 4 e 5,9 cm, ma sale al 31% per gli aneurismi superiori o uguali a 6 cm.
Gli aneurismi fusiformi sono maggiormente predisposti alla rottura rispetto a quelli sacciformi, nei quali il lume d'ingresso (colletto) ristretto protegge la sacca aneurismatica dalle alte pressioni vigenti nel lume vasale. La presenza di calcificazioni e di trombi endoaneurismatici ben organizzati proteggono anch'essi da una precoce rottura. Per quanto riguarda la sede, gli esami autoptici hanno dimostrato come l'evento rottura sia molto più frequente negli aneurismi addominali rispetto a quelli toracici. Invece, nella storia clinica di un paziente affetto da aneurisma cronico dell'aorta toracica si registra una più alta incidenza di manifestazioni tromboemboliche acute nei distretti vascolari periferici (arterie cerebrali, arterie poplitee), per il distacco di emboli da trombi endoaneurismatici.
Alcuni autori documentano un tasso annuo di espansione degli aneurismi toracici (studiato con TC, ETE o RM ) mediamente maggiore di quello degli aneurismi addominali: i primi crescono, infatti, circa 0,42 cm/anno a livello dell'aorta toracica discendente e 0,56 cm/anno a livello dell'arco, mentre i secondi avrebbero un tasso tendenziale di crescita annua intorno agli 0,2 - 0,3 centimetri. E' stato anche ben descritto come il rischio di rottura aumenti in aorte dissecate con diametri che eccedano i cinque centimetri. I dati che emergono dalla letteratura sembrano dimostrare quindi come la prognosi di un paziente con un aneurisma toracico o toraco-addominale di grosse dimensioni, specie se dissecato, sia migliore con l'intervento chirurgico.
Indicazioni chirurgiche
I pazienti sintomatici con aneurisma cronico dell'aorta ascendente devono, generalmente, avere indicazione a trattamento chirurgico, sia che i sintomi siano legati alla dilatazione e compressione della sacca aneurismatica che all'insufficienza valvolare che da essa ne deriva.
Pazienti asintomatici, con aneurisma cronico dell'aorta ascendente di diametro pari a 6 centimetri devono essere sottoposti ad intervento chirurgico in elezione, giacchè la mortalità ospedaliera (5% circa) è notevolmente inferiore quella della storia naturale della malattia.
E' stato evidenziato che dimensioni limiti per la rottura sono 6 cm di diametro per l'aorta ascendente e 7,2 per l'aorta discendente; pertanto è opportuno procedere alla chirurgia elettiva per dimensioni di 5,5 cm per l'aorta ascendente e 6,5 cm per l'aorta discendente; in caso di S. di Marfan tali limiti si riducono a 5 cm per l'aorta ascendente e 6 per l'aorta discendente.
Riguardo alla velocità di crescita degli aneurismi come fattore di rischio di rottura , è ormai accertato che una velocità inferiore a 0,5cm/anno sia indicativa di basso rischio, mentre una velocità di espansione di 1 cm/anno è tale da considerare un intervento chirurgico in elezione.
TECNICHE DI PROTEZIONE CEREBRALE
Negli ultimi anni sono state messe a punto tecniche innovative di protezione cerebrale allo scopo di ridurre l'incidenza di complicanze neurologiche correlate alla chirurgia sostitutiva dell'aorta e migliorarne i risultati.
I principali ed attuali metodi di protezione cerebrale impiegati sono:
1) Arresto di circolo in ipotermia profonda
Il paziente viene posto in circolazione extracorporea ( CEC ) dopo avere incannulato l'arteria femorale e l'atrio destro, mediante due cannule o una singola ( two stage ) cannula e la sua temperatura corporea abbassata progressivamente a 15-18 °C. A questa temperatura la CEC viene fermata ed il sangue del paziente raccolto dentro l'ossigenatore ed il cardiotomo, in modo da rendere il campo chirurgico esangue. La protezione cerebrale viene migliorata apponendo alcuni sacchetti di ghiaccio attorno alla testa del paziente, che è stato preventivamente posizionato in Trendelemburg. L'ipotermia profonda, riducendo l'attività metabolica cellulare, consente l'arresto di circolo per un intervallo di tempo cosiddetto "sicuro", in cui le cellule, utilizzando le riserve d'energia disponibili, non vanno incontro ad alterazioni irreversibili e riprendono la loro normale funzione dopo il ripristino della normotermia.
Il periodo sicuro è influenzato da diversi fattori quali: la velocità di raffreddamento, la temperatura cerebrale media, la pressione arteriosa, il livello di catecolamine, il grado di ipotermia. Studi recenti indicano che se l'ipotermia è dell'ordine di 15-18°C il periodo "sicuro" ha la durata di circa 45 minuti e che i livelli di ATP si riducono del 65%. E' stato dimostrato che tra i 45 e i 60 minuti, il rischio di danni cerebrali irreversibili è del 65% e che oltre i 60 minuti il danno cerebrale interessa il 100% dei casi.
2) Ipotermia profonda, CEC e perfusione cerebrale retrograda
Questa tecnica prevede l'inversione del flusso ematico sulla linea venosa durante la fase di arresto di circolo. La CEC viene iniziata dopo avere incannulato le due vene cave e l'arteria femorale. Si raffredda progressivamente il paziente e non appena si raggiunge la temperatura di 15-18 °C si ferma la CEC e si inizia la perfusione retrograda della vena cava superiore collegata alla linea arteriosa, a bassi flussi, 500 - 800 ml/min/mq s.c., mantenendo una pressione cavale superiore compresa tra 20 e 25 mmHg. Il sangue refluo dal circolo cerebrale viene aspirato a livello dell'aorta ascendente.
Tale tecnica consente di prolungare oltre il limite dei 60 minuti il tempo di arresto di circolo.
3) Ipotermia profonda, CEC e perfusione anterograda
La caratteristica di questa tecnica è che durante la fase di arresto di circolo, viene eseguita la perfusione cerebrale anterograda continua, mediante la cannulazione selettiva ed il collegamento alla linea arteriosa della CEC, del tronco arterioso anonimo e della carotide comune sinistra.
4) Perfusione cerebrale selettiva anterograda secondo Kazui ( Selective Cerebral perfusion - SCP)
Dopo aver posto il paziente in circolazione extracorporea, la temperatura nasofaringea viene abbassata a valori di 22 - 25°C ( ipotermia moderata ) e la circolazione sistemica viene arrestata. Aperta l'aorta ascendente, con il paziente in posizione di Trendelemburg, si procede alla cannulazione sia del tronco anonimo che della carotide comune di sinistra utilizzando delle apposite cannule. La perfusione cerebrale selettiva è iniziata alla velocità di 10ml/Kg/min usando una apposita pompa roller indipendente dalla circolazione sistemica, mantenendo una pressione in arteria radiale destra tra 40 e 70 mmHg. Durante la SCP, l'arteria succlavia di sinistra generalmente viene clampata od occlusa utilizzando un catetere di Fogarty per evitare fenomeni di "furto" o un importante reflusso di sangue che potrebbe creare fastidi al chirurgo.
Studi sperimentali eseguiti da Kazui e coll. suggeriscono che per un'adeguata protezione cerebrale la velocità di perfusione cerebrale in ipotermia moderata deve essere almeno il 50% della perfusione fisiologica. Una velocità di perfusione di 10ml/kg/min, quale si effettua durante la SCP, è considerata essere il 50% o più della velocità di flusso fisiologica della circolazione cerebrale. Gli stessi studi hanno comparato l'efficacia della protezione cerebrale nel corso dell'ipotermia profonda con arresto di circolo, della perfusione cerebrale anterograda e della perfusione cerebrale selettiva anterograda, e da ciò é scaturito che il metodo più sicuro di protezione cerebrale, specie in interventi molto lunghi e complessi quali ad esempio la sostituzione dell'arco aortico, è rappresentato dalla perfusione cerebrale selettiva anterograda. Particolare attenzione, tuttavia, durante SCP deve essere posta all'introduzione e al posizionamento delle cannule, per prevenire eventuali dissezioni distali dei vasi epiaortici o il distacco di frammenti di placche aterosclerotiche, con gravi fenomeni di microembolizzazione cerebrale.
I problemi neurologici sono dunque le complicanze più importanti derivanti dalla sospensione della circolazione cerebrale durante gli interventi sull'aorta e per prevenire queste complicanze varie metodiche sono state ampiamente utilizzate. L'ipotermia profonda con arresto di circolo, utilizzata per la prima volta nel 1974 da Pierangeli e coll., è una metodica semplice e valida, tuttavia ha lo svantaggio di un limitato periodo di "sicurezza" durante la fase di arresto di circolo (45 min. a 18 °C). Con questa tecnica l'incidenza di complicanze cerebrali si aggira tra il 7 e il 10%. Tuttavia il periodo di CEC prolungato, necessario per raffreddare e riscaldare il paziente, accresce i rischi legati a deficit della coagulazione, complicanze polmonari e microembolismi.
La perfusione cerebrale retrograda associata all'arresto di circolo, introdotta per aumentare il periodo di sicurezza durante la fase di arresto di circolo, è una tecnica che ha dato buoni risultati, (Coselli e coll.) ma tuttavia non evita problemi associati all'arresto di circolo e all'ipotermia profonda.
Questa tecnica, utilizzando l'ipotermia moderata (22-25°C), riduce i problemi causati dall'ipotermia profonda, previene gli insulti ischemici dei visceri addominali e del midollo spinale ed inoltre ha considerevolmente prolungato il tempo di "sicurezza" durante la fase di arresto di circolo.

PERFUSIONE CEREBRALE RETROGRADA PERFUSIONE CEREBRALE ANTEROGRADA SEC. KAZUI
Tecnica di De Bakey e Cooley
Questa tecnica, realizzata nel 1956 da De Bakey e da Cooley, viene adoperata nei casi in cui l'aneurisma è localizzato all'aorta ascendente, con seni di Valsalva e valvola aortica normali, e prevede l'impiego di una protesi tubulare semplice di Dacron. Dopo aver cannulato l'arteria femorale o, se le condizioni lo permettono, l'aorta ascendente, una o due cannule venose vengono posizionate in atrio destro. Iniziata la CEC, la temperatura corporea del paziente viene portata a 25°C (ipotermia moderata), si clampa l'aorta ascendente prossimalmente al piede del tronco arterioso anonimo e si effettua la cardioplegia, cristalloide o ematica per via anterograda attraverso il bulbo aortico o gli osti coronarici e/o retrograda attraverso il seno coronarico. In caso di aorta calcifica "a porcellana", la CEC può essere eseguita in ipotermia profonda (18°C) ed arresto di circolo senza ricorrere necessariamente al clampaggio aortico.
La sacca aneurismatica, incisa longitudinalmente o asportata, viene sostituita da un tubo di Dacron, anastomizzato in termino-terminale sia prossimalmente che distalmente; rimosso il clamp aortico, ed effettuata una accurata purga dell'aria, si verifica la tenuta della protesi. Il paziente viene riscaldato progressivamente fino alla normotermia e, stabilizzata l'emodinamica, la CEC viene fermata.

sutura distale RISULTATO FINALE
Tecnica di Bentall
Questa tecnica, descritta per la prima volta da Bentall e De Bono nel 1968, viene utizzata nei casi di aneurisma dell'aorta ascendente associato a valvulopatia aortica. Essa prevede l'uso di un graft di dacron valvolato (protesi meccanica o protesi biologica).
Si cannula il paziente e si inizia la CEC allo stesso modo che per l'intervento di De Bakey e dopo clampaggio aortico ed in ipotermia moderata, si apre la sacca aneurismatica e si asporta la valvola aortica. La protesi valvolare meccanica viene fissata sull'anulus aortico mediante l'applicazione di punti staccati ad "U" montati su pledgets di teflon; sul graft vengono creati due fori laterali sui quali vengono suturati i due tasselli di parete aortica contenenti gli osti coronarici, precedentemente isolati e preparati. Quindi si procede alla realizzazione, mediante sopraggitto, dell'anastomosi distale termino-terminale tra la porzione distale del graft e l'origine dell'arco aortico. Quindi si declampa l'aorta, si effettua la purga dell'aria e si osserva la tenuta dell'innesto. I tempi successivi sono analoghi a quelli dell'intervento di De Bakey.


OSTI CORONARICI DA REIMPIANTARE FORO LATERALE SU CUI VERRA'
SULLA PROTESI AORTICA REIMPIANTATO L'OSTIO CORONARICO
Tecnica di Cabrol
Questa metodica, descritta da Cabrol per la prima volta nel 1978, è una modifica dell'intervento di Bentall. La differenza consiste nell'impiantare sul graft gli osti coronarici non in modo diretto, bensì mediante l'interposizione di una protesi di Gore-tex 8 mm: gli osti coronarici vengono suturati all'estremità della protesi di Gore-tex che a sua volta viene anastomizzata in latero-laterale e mediante un sopraggitto al graft aortico. Tale modifica si rese necessaria per cercare di ovviare all'alta incidenza di complicanze ischemiche ed emorragiche dell'intervento di Bentall.
La tecnica di Cabrol permette, inoltre di ridurre la trazione coronarica ed offre una visuale più ampia della sede della sutura.
Essa prevede anche l'abboccamento dell'auricola destra alla sacca aneurismatica (perigraft) suturata attorno al graft arterioso allo scopo di migliorare l'emostasi e ridurre il rischio di tamponamento cardiaco.
TECNICA
DI CABROL
Tecnica di Wheat
Questa tecnica, descritta per la prima volta da Wheat nel 1964, viene applicata nei casi in cui un aneurisma dell'aorta ascendente è associato a una valvulopatia aortica in assenza di dilatazione dei seni di Valsalva. Essa prevede l'uso di un tubo di Dacron e di una protesi valvolare (meccanica). Cannulato il paziente ed iniziata la CEC allo stesso modo che per l'intervento di De Bakey, in ipotermia moderata ( 25°C ), si effettua l'aortotomia longitudinale a livello della sacca aneurismatica. La valvola aortica patologica viene asportata e sostituita da una protesi valvolare. Il graft viene anastomizzato prossimalmente con il tratto di aorta ascendente subito sopra i seni di Valsalva, e distalmente con l'origine dell'arco aortico.
Il vantaggio di questa tecnica rispetto a quella di Bentall consiste nel lasciare gli osti coronarici nella loro sede naturale, evitandone l' anastomosi alla protesi.
Talora l'insufficienza valvolare aortica può essere corretta effettuando una plastica delle commissure.
Intervento di Ross
Questo tipo di intervento è indicato nei bambini, nei pazienti adulti giovani (particolarmente nelle donne in età fertile ), in pazienti con aneurisma dell'aorta ascendente con associata valvulopatia aortica ed anulus valvolare nei limiti della norma. L'intervento di Ross si esegue attraverso una sternotomia mediana, in CEC. Clampata l'aorta e somministrata la soluzione cardioplegica, si mobilizza l'arteria polmonare, che viene sezionata distalmente poco prima della sua biforcazione, si preleva quindi l'autograft polmonare e si procede all'asportazione dell'aorta ascendente e della valvola aortica preservando l'origine delle due coronarie; l'autograft polmonare viene quindi suturato con reimpianto degli osti coronarici. L'intervento è completato con l'inserzione di un homograft in sede polmonare.


INTERVENTO DI TYRONE DAVID
T. David e M. Yacoub hanno proposto due interventi chirurgici che evitano l'uso della protesi valvolare nel trattamento dei pazienti con aneurisma dell'aorta ascendente e insufficienza aortica associata. Entrambi questi interventi si basano sul presupposto che in molti di questi casi le semilunari aortiche sono normali e che l'insufficienza valvolare è dovuta alla dilatazione della giunzione sino-tubulare, talora combinata alla dilatazione dell'anulus aortico. Tale procedura chirurgica, che prevede la sostituzione dell'intera radice aortica con un tubo protesico e la conservazione della valvola aortica nativa, risulta particolarmente utile per quei pazienti che hanno una controindicazione all'uso della terapia anticoagulante o che hanno uno stile di vita che non permetta l'uso di anticoagulanti, o che hanno un'età tale per cui la necessità di un reintervento per la sostituzione della valvola aortica nativa è improbabile.
Questi interventi sono classicamente suddivisi in due procedure, "rimodellamento della radice aortica" o procedura di Yacoub (1979) e "sostituzione della radice aortica" o procedura di Tyrone David (1988). Nella procedura di Yacoub, viene risparmiato il tratto di parete aortica comprendente i seni coronarici, mentre nel metodo classico di T. David, si ha l'asportazione dei seni di Valsalva, la valvola nativa è circondata dal graft protesico tubulare e si effettua il reimpianto degli osti coronarici sulla protesi tubulare.
Il problema più importante resta capire l'effettiva durata della valvola nativa, e quindi il tempo prima che si renda necessario un secondo intervento per la sostituzione della valvola aortica.
In conclusione, la procedura secondo T. David con creazione di pseudo-seni di Valsalva nel graft, è una opzione ragionevole in certi pazienti attentamente selezionati, essa tuttavia non esclude la possibilità di un secondo intervento futuro; la procedura di Yacoub non dovrebbe essere utilizzata in pazienti con S. di Marfan o con altri disordini del tessuto connettivo; essa può essere riservata ai pazienti più anziani, dove occasionalmente può costituire una buona opzione chirurgica.
anastomosi dell parte distale della protesi con l'aorta.
TECNICA DI KOUCHOUKOS " OPEN TECNIQUE "
Questa tecnica, descritta per la prima volta da Kouchoukos nel 1990, viene utizzata nei casi in cui l'aneurisma interessa l'aorta ascendente e l'arco aortico. Essa associa i vantaggi che derivano dal totale arresto di circolo in ipotermia profonda all'uso della perfusione cerebrale retrograda in vena cava superiore.
Dopo avere cannulato l'arteria femorale, si esegue la sternotomia mediana, si espone l'aorta ascendente e si cannulano le due vene cave. Si inizia la CEC raffreddando il paziente alla temperatura di 15-18 °C (ipotermia profonda) e quindi si effettua l'arresto di circolo.
Si esegue un'aortotomia verticale sull'aorta ascendente estendendola fino alla concavità dell'arco e si somministra la cardioplegia attraverso gli osti coronarici. Si inizia la perfusione retrograda in vena cava superiore (500 ml/min/mq s.c. a 25 mmHg di pressione venosa) che permette un tempo "sicuro" superiore ai 45 minuti.
Se l'aneurisma interessa soltanto la porzione prossimale dell'arco, il tubo protesico viene preparato distalmente a "becco di flauto" e anastomizzato con la concavità dell'arco ed il piede del tronco arterioso anonimo.
Dopo un'emostasi accurata, la purga dell'aria ed aver clampato la protesi prossimalmente, si può ripristinare la CEC. La cannulazione femorale può essere sostituita con quella della protesi in modo da permettere una perfusione cerebrale migliore e ridurre i tempi di riscaldamento. Si confeziona infine l'anastomosi prossimale termino-terminale tra la protesi e l'aorta ascendente, si declampa l'aorta e si riporta il paziente in normotermia. Si procede quindi a distacco della CEC e alla decannulazione.
Se l'aneurisma interessa tutto l'arco aortico, si completa la sua sezione fino all'istmo aortico risparmiando il piede dei tronchi sovraortici. Dopo avere eseguito l'anastomosi distale si procede a reimpianto della calotta contenente l'origine dei tronchi sovraortici sul tubo protesico opportunamente modellato. I tempi successivi sono analoghi a quelli precedentemente descritti.

ANASTOMOSI A " BECCO DI FLAUTO " REIMPIANTO DEI TRONCHI SOVRAORTICI Tecnica di Robicsek
Quando l'aorta ascendente non è estremamente dilatata, può essere utilizzata la tecnica chirurgica descritta da Robicsek, che consiste nel fasciare dall'esterno l'aorta ascendente con una protesi, opportunamente fissata prossimalmente e distalmente, allo scopo di prevenire una ulteriore dilatazione del vaso ( questa tecnica tuttavia non è più raccomandata ).

TECNICA DI ROBICSEK
MORTALITA' E MORBILITA' OPERATORIA
Gli interventi chirurgici di correzione degli aneurismi dell'arco e dell'aorta toraco-addominale, sono gravati da una mortalità precoce superiore rispetto a quelli dell'aorta ascendente e della porzione discendente dell'aorta toracica. Questi rischi sono stati ridotti dal miglioramento delle tecniche di protezione cerebrale e spinale.
L'età avanzata, l'insufficienza renale cronica, l'ipertensione e la vasculopatia periferica estesa accrescono i fattori di rischio di mortalità precoce e tardiva dopo correzione chirurgica.
La rottura acuta di un aneurisma cronico dell'aorta accresce notevolmente il rischio legato alla correzione chirurgica dello stesso ed è stata riportata una mortalità precoce del 24% contro l'8% degli interventi eseguiti in elezione.
Paraplegia e paraparesi sono complicanze del trattamento chirurgico degli aneurismi cronici dell'aorta toracica e toraco-addominale.
I danni cerebrali sono eventi che complicano particolarmente gli interventi di aneurisma dell'arco aortico. Le informazioni a questo riguardo sono incomplete, ma il 5-10% dei pazienti sembra avere evidenza di danni cerebrali dopo intervento chirurgico soprattutto sull'arco aortico.
Insulti renali sono una complicanza comune del trattamento chirurgico degli aneurismi dell'aorta toracica discendente e dell'aorta toraco-addominale, ma non è comune la comparsa di una insufficienza renale.
Un'insufficienza polmonare di sufficiente durata da richiedere un prolungato supporto ventilatorio occorre nel 20-30% dei pazienti che si sottopongono ad intervento chirurgico per trattamento di un aneurisma dell'aorta toracica e toraco-addominale.
In un significativo numero di paziente è necessario un reintervento particolarmente quando è presente una precedente dissezione aortica o in presenza di sindrome di Marfan. L'incidenza attuale di formazione di nuovi aneurismi dopo intervento chirurgico di dissezione acuta dell'aorta è del 32% a 5 anni. Perciò, come nel caso di dissezione aortica acuta, un continuo follow up è richiesto in tutti i pazienti operati per aneurisma aortico.

ANEURISMA DELL'AORTA ASCENDENTE ROTTO
![]() |
|
| Appunti Bellezza | ![]() |
| Tesine Bambini | ![]() |
| Lezioni Nutrizione | ![]() |