![]() |
|
| Appunti universita |
|
| Visite: 1644 | Gradito: |
Leggi anche appunti:Le Malattie della Terza EtàLe Malattie della Terza Età Il Diabete Mellito Il diabete mellito rappresenta Haemophilus InfluenzaeHaemophilus Influenzae L'H. influenzae, originariamente scoperto come agente Forme di disabilita'FORME DI DISABILITA' COME SI PRESENTA LA DISABILITA' □ Strutture/funzioni |
![]() |
![]() |
CARCINOMA ACINICO
Neoplasia maligna delle ghiandole salivari nella quale si dimostra differenziazione in senso sieroso acinare, caratterizzata da granuli di secrezione citoplasmatici contenenti zimogeno. Può essere presente anche differenziazione in senso duttale.
WHO, 2005 .
Prevalentemente localizzato alla parotide
Femmine: Maschi = 2 1
Picco in VII decade
Ampio range di età
Carcinoma che presenta aspetti di differenziazione verso le cellule luminali degli acini a secrezione sierosa.
Compare quasi esclusivamente nella parotide.
Rari casi sono descritti nella mammella.
E' una neoplasia a lenta crescita.
Può avere una pseudocapsula
Va posto in diagnosi differenziale con neoplasie benigne.
L aspetto istologico è estremamente variabile. Si possono osservare molti aspetti morfologici diversi. Ad esempio ci sono forme sclerosanti, casi con infiltrato infiammatorio intenso, casi con architettura simil follicolare, ecc.
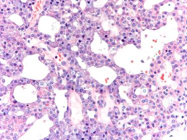
Un aspetto diagnostico importante è dato dal fatto che il carcinoma acinico presenta le cellule a secrezione sierosa, simili alle cellule luminali degli acini parotidei (come si può osservare nell immagine sottostante .
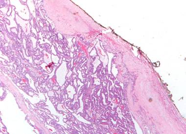
Il carcinoma acinico può avere una pseudocapsula, frequentemente incompleta all'esame
istologico, come si osserva nell immagine seguente.

Data la variabilità degli aspetti morfologici talvolta la diagnosi può essere difficile. In questi casi è utile completare lo studio della neoplasie con indagini immunoistochimiche. In particolare il carcinoma acinico :
Positivo per
Citocheratina (Ck) a basso peso molecolare (ck7 ck8)
Apocrino focale)
Lisozima
Amilasi salivare
Negativo per: Marcatori di differenziazione mioepiteliali. PROGNOSI:
La Prognosi del carcinoma acinico , nel complesso, buona.
Sopravvivenza a 5 anni = 82%
Sopravvivenza a 10 anni = 67%
Tuttavia è importante ricordare la possibilità di metastasi tardive anche dopo 20 - 30 anni. Pertanto sono importanti:
Diagnosi precoce
Intervento chirurgico radicale
![]() |
| Appunti su: carcinoma acinico, |
|
| Appunti Bambini | ![]() |
| Tesine Bellezza | ![]() |
| Lezioni Nutrizione | ![]() |