![]() |
|
| Appunti universita |
|
| Visite: 2000 | Gradito: |
Leggi anche appunti:ReoviridaeREOVIRIDAE § Ribovirus sprovvisti di Malattie immunitarieMALATTIE IMMUNITARIE IMMUNITA' INNATA (CAP.2) MALATTIA GRANULOMATOSA La cuteLa cute La cute è un organo di confine e di relazione |
![]() |
![]() |
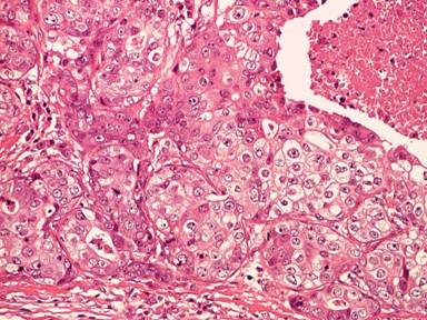
CARCINOMA DUTTALE DELLE GHIANDOLE SALIVARI
Adenocarcinoma aggressivo che assomiglia al carcinoma duttale mammario ad alto grado
WHO, 2005 .
Raro.
Identificato recentemente ultimi 15 anni .
Colpisce prevalentemente la parotide.
Pazienti anziani, in genere 6 - ma decade.
Più frequente nei maschi.
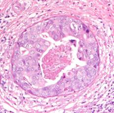
Aspetto morfologico sovrapponibile al carcinoma duttale mammario. Pertanto si riconoscono:
Ca duttale in situ
Ca duttale invasivo
Sia la forma in situ che invasiva va sottoposta a grading e suddivisa in Gradi: 1 - 3.

Prevalgono le forme ad altro grado, pertanto si osservano più frequente le forme di grado 3.
Inoltre sono descritti casi:
Micropapillari
Mucoidi
Endocrini
Con componente sarcomatoide
In generale prevalgono le forme aggressive
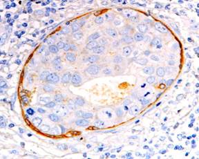
Profilo immunoistochimico:
Carcinoma duttale delle Ghiandole Salivari
Estrogeni + -
Progesterone +
Androgeno ++
PSA antigene specifico prostatico) + Carcinoma duttale della Mammella:
Estrogeni ++
Progesterone ++
Androgeno +
PSA -
Per la dagnosi differenziale con metastasi da ca. mammario:
Vedere la componente in situ

Laminina, coll IV,
CK 4

Importante per prognosi:
Dimensione della neoplasia alla presentazione
Componente in situ
Grado istologico
Frequente positività per c-Erb B2, Sia in immunoistochimica che in FISH.
Attualmente la positività per c-Erb B2 è un indicatore morfologico di aggressività, ancora non è noto se indica una possibilità terapeutica.
Il carcinoma duttale delle ghiandole salivari: presenta recettori per Androgeni, che potrebbero indicare una risposta a terapia anti androgeno. Un caso descritto con regressione della malattia.
Neoplasie delle ghiandole salivari.
Hanno incidenza di , 3 casi per 0 all'anno. Quindi rappresentano una patologia non molto diffusa e sono per lo più benigni.

Le neoplasie delle gh.salivari in genere si localizzano secondo una regola per cui in 0 occasioni si localizzano alla parotide,in 1 occasione si localizza alla gh.sottomandibolare e in 1 occasione si localizza all'interno della gh.sottolinguale.
Nell'immagine si osserva come la parotide sia stata ribaltata per rimuovere un adenoma pleomorfo e bisognerà spostare il nervo facciale per asportare il tumore.
La parotide contiene il grosso delle neoplasie di cui l' % è benigno.le altre percentuali sono nell'immag.
Le classificazioni sono state numerose e queste neoplasie sono divenute delle entità patologiche differenti.
Abbiamo una distinzione generica in tumori benigni e maligni connettivali e in tumori benigni e maligni epiteliali.Inoltre ci sono anche lesioni simil tumorali. Inoltre nelle gh.salivari può esserci la localizzazione di tumori emolinfoidi e in particolare di linfoma Hodgkin e non Hodgkin. Bisogna tener presente che nella parotide ci sono dei linfonodi che sono intraparotidei che sono del vero parenchima ghiandolare e alle volte è difficile distinguere se un linfoma parotideo è un linfoma primitivo, extra cutaneo o locale all'interno della della ghiandola.
In genere questi sono i sintomi con cui si manifesta:
Il dolore non è indicatore di malignità,infatti c è un tumore benigno che si chiama tumore di Wartin (leggesi
Wortin che dà dolore.
La consistenza è varia. Infatti l'adenoma pleomorfo ha una consistenza duro ossea perché c' è una
metaplasia ossea mentre il tumore di Wartin ,che è uno dei più comuni,è molle.
(si parla di degenerazione cistica nell'ambito di una massa benigna.)
Il prof non specifica il termine coda della ghiandola,io supponga possa trattarsi di una indicazione dulla sede con i corrispettivi segni e sintomi. ATTENZIONE: sec il prof sul Valletta c'è indicato che l'adenoma pleomorfo dà paralisi del nervo facciale per compressione MA NON è ASSOLUTAMENTE VERO !!!In quanto la paralisi si ha per infiltrazione del nervo ,caratteristica del processo tumorale, salvo processi infiammatori importanti che possono dare paralisi. La paralisi facciale è un segno molto molto brutto in soggetto con massa parotidea.
Bisogna considerare nella parotide una porzione superficiale e una profonda,ma la gh. è comunque unica,ma c'è il nervo facciale che li attraversa in mezzo per cui si distingue una porzione esofacciale esterna e una profonda. Ovviamente nel caso di interessamento del lobo (la definizione di lobi è impropria è solo indicativa) profondo la clinica cambia ,in quanto se è interessato il lobo"esterno non si vede niente,
mentre nel caso del lobo profondo osserviamo una dislocazione del velo pendulo nell'imm. alla destra della pz(some se fosse posta dinnanzi a noi .
Segni e sintomi in caso di interessamento della sottomandibolare:
Non c'è paralisi del facciale,non ci sono segni neurologici. Segni e sintomi in caso di interessamento della gh.sottolinguale:
Le neoplasie possono essere anche a carico delle gh.salivari minori e i segni e sintomi variano in relazione alla sede con massa mobile se localizzata a livello della guancia e massa fissa se localizzata a livello palatino.
![]() |
| Appunti su: carcinoma duttale ghiandole salivari, |
|
| Appunti Nutrizione | ![]() |
| Tesine Bellezza | ![]() |
| Lezioni Bambini | ![]() |