![]() |
|
| Appunti universita |
|
| Visite: 3348 | Gradito: |
Leggi anche appunti:Sindrome da Ab anti-fosfolipi (APS)Sindrome da Ab anti-fosfolipi (APS) La APS è una entità clinica eterogenea Rischio anestesiologicoRISCHIO ANESTESIOLOGICO Il rischio anestesiologico può essere definito come Articolazioni dell'arto superioreARTICOLAZIONI DELL'ARTO SUPERIORE Si dividono in: - appartenenti |
![]() |
![]() |
CHIRURGIA CORONARICA
Gli obiettivi che la chirurgia coronarica si prefigge sono il miglioramento della qualità o dell' aspettativa di vita del paziente. L'intervento di rivascolarizzazione miocardica consiste nell'eseguire uno o più innesti a ponte tra l'aorta ascendente e le arterie coronarie ( by-pass aorto coronarico ) a valle delle lesioni critiche o tra un'arteria sistemica ed il ramo coronarico. Viene definita " critica " una stenosi del 70 - 75 % del lume vasale, valutata mediante coronarografia ( per il tronco comune della coronaria sinistra una stenosi del 50 % ).

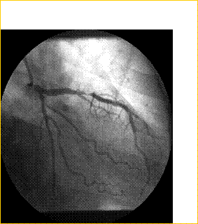
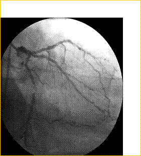
STENOSI DISCENDENTE ANTERIORE STENOSI RAMO CIRCONFLESSO
Non tutti i rami coronarici possono essere sottoposti ad intervento di rivascolarizzazione miocardica: i vasi coronarici da sottoporre a by-pass devono avere un calibro superiore a 1-1,5 mm; il ramo circonflesso, che decorre nel solco atrioventricolare, non può essere sottoposto a by-pass, così come i rami settali, mentre il ramo discendente anteriore, i rami diagonali ed i rami marginali possono essere bypassati ed anche il tronco della coronaria destra, il ramo posterolaterale ed interventricolare posteriore. La scelta dei condotti per la rivascolarizzazione miocardica è di fondamentale importanza, poichè i risultati clinici a lungo termine dipendono in grande misura dal tipo di condotto utilizzato.
I primi condotti utilizzati furono venosi e più precisamente l'inizio della chirurgia coronarica è da datare al 1967 ad opera del prof. Favaloro che utilizzò, per disponibilità, durata e versatilità, la vena grande safena ( VGS ). La chiusura tardiva dei grafts ( 10% nel primo mese, un altro 10% nel primo anno e dal 2 al 5% annuo negli anni successivi ) e complicanze postoperatorie cardiache ( angina ed infarti ), spinse molti chirurghi alla ricerca di altri condotti che potessero dare risultati migliori. La tecnica si è evoluta così verso una rivascolarizzazione mista o "standard", che prevede l'impianto di almeno un'arteria mammaria, preferibilmente sul ramo discendente anteriore, e di condotti venosi sugli altri rami coronarici. Questa tecnica ha dato risultati così buoni ( riduzione della mortalità e della morbilità sia precoce che tardiva ) che per molto tempo è stata considerata la soluzione ideale. L'arteria mammaria interna è il condotto ideale, con il quale devono confrontarsi tutti gli altri, grazie alla eccezionale pervietà a distanza ed alla quasi totale assenza di aterosclerosi nell'uomo.
Gli anni '90 sono stati contrassegnati dall'impegno verso una chirurgia di rivascolarizzazione miocardica con soli condotti arteriosi, nell'intento di assicurare ai pazienti, ed in particolare ai più giovani, una sopravvivenza senza eventi cardiaci. I condotti arteriosi utilizzati per la rivascolarizzazione miocardica sono: l'arteria mammaria interna ( AMI ), la radiale ( AR ), la gastroepiploica destra (AGE ), l'epigastrica inferiore ( AEI ). Si tratta di vasi arteriosi di medio calibro (diametro 2,5-5 mm). Nella tonaca media delle arterie di piccolo e medio calibro prevale il tessuto muscolare, a differenza di quelle di grosso calibro in cui prevale invece il tessuto elastico. Pertanto le arterie di medio e piccolo calibro sono in grado di variare attivamente il loro lume, regolando così la quantità di sangue che affluisce ai rispettivi organi e tessuti, mentre quelle di grosso calibro, per la prevalente componente elastica nella loro parete, intervengono passivamente nella circolazione sanguigna.
Nei pazienti più giovani si preferisce utilizzare condotti arteriosi per la maggiore pervietà a distanza ma il limite principale è dato dal numero di condotti arteriosi disponibili e utilizzabili. Nei pazienti obesi e diabetici si evita di prelevare entrambe le arterie mammarie per non ridurre drasticamente la vascolarizzazione sternale e compromettere di conseguenza l'osteosintesi sternale nel postoperatorio ( con rischio di mediastiniti ).
CONDOTTI VENOSI. VENA GRANDE SAFENA (VGS)
Nei primi due decenni dell'era moderna della rivascolarizzazione miocardica, la VGS è stato il condotto più utilizzato in quanto ha una lunghezza sufficiente per bypassare tutte le coronarie ed un diametro, specialmente al di sotto del ginocchio, che si adatta bene ( 3-4 mm ) ai vasi di maggior calibro. Tuttavia essa possiede una struttura morfofunzionale di tipo venoso, non idonea ad un flusso pulsato ad alta pressione come quello arterioso, e dopo l'impianto sull'aorta ascendente essa va incontro ad una iperplasia mio - intimale di tipo reattivo che, se da un lato consente al condotto di adeguarsi alle nuove condizioni emodinamiche, dall'altro riduce la reattività vascolare e può portare al malfunzionamento ed all'occlusione del bypass. Essa viene prelevata utilizzando come punti di repere il malleolo mediale e la cresta tibiale anteriore, legando tutti i rami collaterali ed infine sezionando il condotto per ottenere segmenti di lunghezza sufficiente per i by - pass da confezionare ( la safena viene impiantata invertendone il senso in modo che le valvole presenti nel suo decorso non ostacolino il flusso ematico ).

VENA SAFENA BY PASS IN SAFENA
CONDOTTI ARTERIOSI
Bisogna distinguere condotti in situ e liberi " free " ) : nel primo caso si utilizzano arterie che conservano la loro origine vascolare ( AMI e AGE ), mentre nel secondo vengono adoperate arterie sezionate dalla loro origine vascolare ( AEI e AR ). L'AMI e l' AGE possono a seconda delle necessità, essere anche usate come condotti liberi. Diversi studi, hanno dimostrato che i condotti in situ hanno una maggiore pervietà breve e medio termine rispetto a quelli liberi, probabilmente per problemi tecnici nell'anastomosi prossimale sull'aorta o per cause emodinamiche ( in particolare si avrebbe una proliferazione dell'intima con iperplasia e successiva stenosi sotto lo stimolo sistolico sulla parete, fino all' occlusione del graft ). Per tale motivo molti chirurghi eseguono l'anastomosi dei condotti liberi sull'AMI, dove lo stress di parete è minore, formando i cosiddetti " grafts compositi a T o Y", con o senza anastomosi sequenziali. Un'altra considerazione importante da fare è quella sulla tecnica di preparazione dei condotti. Esistono infatti due modalità: una detta "peduncolata" in quanto il prelievo comprende tutto il peduncolo vascolare che include le vene satelliti, i nervi, la fascia toracica interna ed il tessuto adiposo circostante; l'altra è detta "scheletrizzata" nella quale il condotto viene prelevato senza le strutture circostanti (quest'ultima tecnica presenta il vantaggio di ottenere una lunghezza ed un calibro del condotto maggiori e di poter osservare se vi sono state lesioni durante il prelievo ).
ARTERIA MAMMARIA INTERNA ( AMI )
Nasce dal primo tratto dell'arteria succlavia, scende in basso fino a raggiungere la faccia posteriore della prima cartilagine costale e decorre quindi verticalmente in prossimità delle cartilagini costali, fino al sesto spazio intercostale ove si biforca dando origine all'arteria muscolofrenica ed all'epigastrica superiore ( la quale si esaurisce in vicinanza dell'ombelico anastomizzandosi con i rami della epigastrica inferiore ) e nel suo decorso fornisce rami mediastinici, timici ed intercostali. L'arteria mammaria interna è stata largamente usata come graft arterioso ed in particolare per la rivascolarizzazione del ramo interventricolare anteriore. Essa infatti è, per calibro e per caratteristiche morfologiche, il vaso che più si adatta al ramo interventricolare anteriore ( IVA ). Si tratta di un'arteria elastica la cui lamina elastica interna è intatta, con i vasa vasorum confinati nell'avventizia. L'assenza di discontinuità nella lamina elastica interna comporta una bassa suscettibilità all'aterosclerosi ed all'iperplasia intimale. L'elastina che compone il tessuto elastico della tonaca media ha un basso metabolismo, con una domanda di ossigeno o di substrato ridotta, ottenuta sia per diffusione a partire dal lume arterioso, sia per perfusione attraverso i vasa vasorum. Molti lavori convenzionali e trials randomizzati con lunghi follow-up, hanno dimostrato un'eccellente pervietà dell'AMI su IVA ( >90% ) con incremento della sopravvivenza dei pazienti, a confronto di quelli trattati con grafts in vena safena sull'IVA. L'aterosclerosi tardiva è un'eccezione, mentre colpisce più del 70% dei grafts venosi a 10 anni. Osservazioni recenti suggeriscono che la lamina elastica interna abbia un ruolo determinante nell'ispessimento intimale: una sua discontinuità permette la colonizzazione dell'intima attraverso le cellule muscolari lisce della media, provocando un ispessimento intimale precoce e progressivo. Ciò si osserva a livello delle arterie coronarie così come a livello delle vene safene, le quali presentano numerose discontinuità ed un ispessimento intimale progressivo nel corso della vita, che però è minimo sotto una pressione venosa normale. Quando invece la vena safena viene utilizzata come graft, in particolare nella circolazione coronarica, la proliferazione delle cellule della media si produce ad un ritmo accelerato e provoca un restringimento critico del lume con infiltrazione lipidica arrivando ad un quadro di arterosclerosi evoluta, fino alla possibile occlusione a distanza del graft venoso. L'AMI, oltre al vantaggio di una maggiore pervietà a distanza, presenta anche altri vantaggi: la secrezione di prostaciclina attraverso l'intima, tre volte superiore a quella della vena, previene il deposito di piastrine nel periodo perioperatorio ed inoltre i vasa vasorum limitati all'avventizia con un nutrimento dal lume arterioso suggeriscono che il prelevamento dell'AMI come graft libero non presenta ischemia parietale arteriosa. L'AMI sinistra può essere anastomizzata su tutti i rami coronarici sinistri, mentre l'AMI destra è usualmente impiegata per le ostruzioni prossimali della coronaria destra, dell'IVA, e, facendola passare sotto il seno trasverso, sul ramo intermedio o sul primo ramo marginale dell'arteria circonflessa. Questi sono i targets coronarici raggiungibili dalle arterie mammarie utilizzate in "situ". La possibilità di costruire un condotto arterioso a "T o Y" con le due mammarie ( normalmente l' AMI sinistra in situ e l'AMI destra libera sull' AMI sinistra ), consente la rivascolarizzazione completa arteriosa del miocardio. In generale, l'utilizzo della doppia mammaria è sconsigliato nei pazienti diabetici, negli obesi e negli anziani per il più alto rischio di mediastiniti. Contro-indicazioni relative all'uso della doppia mammaria sono gli interventi in urgenza/emergenza e le broncopatie croniche ostruttive. Oggi si ritiene tuttavia, che le uniche vere controindicazioni all'uso dell'AMI siano le pregresse frequenti irradiazioni della parete toracica e l'aterosclerosi prossimale della succlavia. Diverse condizioni possono, però, essere responsabili dell'insuccesso immediato o precoce di una rivascolarizzazione con AMI:
Errore tecnico ( lunghezza eccessiva o insufficiente, torsione, retrazione dell'anastomosi, dissezione per traumatismo di una branca collaterale );
Furto della succlavia per lesioni ostruttive succlaveari;
Spasmo arterioso
Ipoperfusione ( l'uso inappropriato dell'AMI per le rivascolarizzazioni complesse può avere delle conseguenze disastrose per perfusione inadeguata, legata ad un diametro ed un flusso insufficienti ).
IMPIANTO ARTERIA MAMMARIA INTERNA
ARTERIA RADIALE ( AR )
E' il ramo laterale di biforcazione dell'arteria brachiale e
si estende dalla piega del gomito al
palmo della mano. Nell'avambraccio è coperta dal muscolo brachioradiale e,
quando questo si trasforma in tendine, l'arteria diventa superficiale e termina
anastomizzandosi a pieno canale con un ramo profondo dell'arteria ulnare,
formando così l'arcata palmare profonda. L'arteria radiale è stata proposta
come condotto per il by-pass aorto-coronarico da Carpentier nel 1973, con
risultati precoci favorevoli. E' stato però presto abbandonata a causa
dell'alta percentuale di occlusioni dopo alcuni mesi, rispetto alla vena
safena. Gli esami anatomopatologici, eseguiti su di un gran numero di arterie
radiali espiantate, rilevarono una marcata iperplasia intimale con precoce
obliterazione del lume. Nel 1989,
Carpentier e coll. hanno ripreso l'utilizzo dell'arteria radiale insieme con
l'AMI supportata da farmaci antispastici ( Diltiazem ) peri e
post-operatoriamente. I risultati ad un anno hanno così mostrato una pervietà
superiore al 90% ( lievemente inferiore a quella dell'AMI, ma superiore a
quella della VGS ). L'arteria radiale viene prelevata con il peduncolo
comprendente le vene ed il tessuto grasso circostante, sottoposta a dilatazione
intraluminale mediante infusione con papaverina e trattata post-operatoriamente
con somministrazione di calcio-antagonisti per controllare lo spasmo del graft.
L'arteria radiale viene preparata esclusivamente dal lato del braccio non
dominante. La lunghezza del graft ( 20 cm o più ) permette di accedere a tutti
i territori miocardici ed il diametro
del lume si accorda bene a quello dei maggiori vasi coronarici. Le
controindicazioni all'uso di altri condotti arteriosi ( età avanzata, obesità,
diabete, BPCO ) non sono generalmente rilevanti per l'arteria radiale. Per
molto tempo si è temuto che il prelievo della AR potesse determinare
complicanze ischemiche dell'avambraccio ma un'attenta valutazione clinica ed il
test di Allen effettuato preventivamente al paziente, permette di evitare
facilmente questa complicanza.
ARTERIA RADIALE
ARTERIA GASTROEPIPLOICA ( AGE )
Deriva dall'arteria gastroduodenale, ramo collaterale dell'arteria epatica, raggiunge la grande curva dello stomaco decorrendo tra le due pagine del legamento gastrocolico, da quindi rami gastrici che risalgono sulle due facce dello stomaco ed rami epiploici che discendono nel grande epiploon, termina anastomizzandosi, a livello della grande curva con l'arteria gastroepiploica sinistra, ramo dell'arteria splenica. E' stata usata sin dal 1994 e recentemente ha conosciuto un ritorno di interesse considerevole come sostituto arterioso. Questa arteria ha un certo numero di vantaggi: misura comparabile alle arterie coronarie; prelievo agevole potendo essere fatto contemporaneamente al prelievo dell'AMI e della safena; Essa viene di solito utilizzata come condotto in situ , facendola passare attraverso il diaframma per rivascolarizzare la parete diaframmatici del cuore. Tuttavia sono stati riportati casi in cui la AGED è stata usata come graft libero o su vasi della parete anterolaterale. Le potenziali complicanze includono il sanguinamento relativo al prelievo e l'ernia diaframmatica. Tale arteria (di circa 20 cm di lunghezza), viene utilizzata, in situ, principalmente per rivascolarizzare il ramo interventricolare posteriore. Tra le controindicazioni a questa tecnica, bisogna ricordare: pregressi interventi maggiori a carico dell'addome o concomitanti patologie addominali, l'epatomegalia, l'obesità severa e la stenosi del tronco celiaco.
ARTERIA EPIGASTRICA INFERIORE ( AEI )
L'arteria epigastrica inferiore è l'ultimo condotto arterioso proposto per la rivascolarizzazione del miocardio. Nasce dalla faccia interna dell'arteria iliaca esterna, immediatamente al di sotto dell'arcata crurale. Contrae rapporto con il margine mediale dell'orifizio interno del canale inguinale, ove è applicata contro la fascia trasversale e coperta dal peritoneo. Verso l'alto perfora la fascia trasversale e penetra, attraverso la linea semicircolare del Douglas, nella guaina del retto dell'addome ove termina ramificandosi nello spessore del muscolo ed anastomizzandosi con i rami dell'arteria epigastrica superiore. Di piccolo diametro, l'epigastrica inferiore, è un arteria prevalentemente muscolare ed in essa, in base agli studi morfometrici di Jacques e coll., vi sarebbe una iperplasia intimale moderatamente severa alla sua origine e lieve nel resto del condotto. Risulterebbe pertanto impossibile usare la prima porzione dell'arteria, mentre si potrebbe impiegare come condotto libero. Tra l'altro, l'innesto di tale arteria direttamente sull'aorta può essere sfavorevole, in quanto la più alta pressione arteriosa stimola l'iperplasia intimale generata dall'invasione di cellule muscolari lisce dalla media. Viene preparata mediante incisione addominale lungo il margine laterale del muscolo retto dell'addome. Possono essere prelevate ambedue le arterie epigastriche, ma mai deve essere isolata quella omolaterale all'arteria mammaria precedentemente preparata, ciò per evitare l'ischemia del muscolo retto dell'addome irrorato dalle due arterie. Le principali complicanze sono le infezioni e gli ematomi della parete addominale. La pervietà a breve termine è uguale a quella degli altri condotti arteriosi ed a medio termine supera il 90%. Tra le controindicazioni relative bisogna citare l'obesità e la pregressa o prospettica chirurgia addominale.
STRATEGIA OPERATORIA
RIVASCOLARIZZAZIONE VENOSA
Vantaggi : rapidità di intervento (fondamentale in caso di IMA o shock cardiogeno)
Svantaggi : chiusura del by-pass , IMA, morte improvvisa, reintervento.
Il flusso nei condotti venosi è già massimale, mentre nei condotti arteriosi lo diventa solo dopo qualche
tempo, quindi nelle emergenze si tende ad usare condotti venosi.
RIVASCOLARIZZAZIONE STANDARD
Vantaggi : Riduzione della mortalità e degli eventi cardiaci precoci e tardivi ( infarto, angina )
Svantaggi : Reinterventi con AMI funzionante.
RIVASCOLARIZZAZIONE ARTERIOSA
Vantaggi : Risultati duraturi, riduzione degli eventi cardiaci
Svantaggi : Mediastiniti, maggiori rischi nei reinterventi.
RIVASCOLARIZZAZIONE STANDARD ( MAMMARIA + SAFENA )
MORTALITA' OPERATORIA
Attualmente si aggira attorno all'1-3% nella maggior parte dei centri, ma le caratteristiche cliniche del paziente e l'esperienza del chirurgo sono le due variabili da cui dipende essenzialmente la mortalità operatoria: per un paziente giovane in buone condizioni generali, con funzione ventricolare conservata ed operato in elezione la mortalità ospedaliera è inferiore all'1% , ma per un paziente ottantenne, vasculopatico, diabetico, con insufficienza renale, bassa frazione di eiezione ed operato in emergenza, tale rischio sale ad oltre il 10%.

COMPLICANZE POSTOPERATORIE
INFARTO PERIOPERATORIO
L'incidenza di questa complicanza oggi oscilla tra il 3 e il 10% e, per quanto la patogenesi sia multifattoriale, rivestono un ruolo di primaria importanza la rivascolarizzazione incompleta e la chiusura dei by pass in relazione ad errori tecnici nell'esecuzione delle anastomosi. Anche fattori di tipo funzionale sono stati chiamati in causa come determinanti una condizione di ipoperfusione miocardica. Per esempio la " sindrome da malperfusione della mammaria " caratterizzata dall'improvvisa insorgenza in sala operatoria o nell'immediato decorso post-operatorio di una bassa portata associata alla comparsa di segni ECG di ischemia sul territorio di distribuzione del DA e/o di aritmie ventricolari maggiori: questo quadro è ritenuto l'espressione di una improvvisa discrepanza tra il flusso dell'AMI e la richiesta miocardica di O2.
COMPLICANZE NEUROLOGICHE
L'incidenza di questa complicanza varia dall'1 al 5% secondo le casistiche. I quadri clinici, che sono molteplici, potendo andare dal risveglio agitato, ai segni di irritazione corticale al TIA fino al coma irreversibile, sono in genere la conseguenza di una ischemia cerebrale e solo eccezionalmente di una emorragia intracranica. L'ischemia cerebrale è riconducibile a molteplici cause: embolie solide di diversa origine, embolie gassose, ipoperfusione cerebrale durante la CEC, soprattutto in pazienti anziani vasculopatici. In presenza di aterosclerosi dell'aorta ascendente il rischio di ictus aumenta in modo significativo ( 14% contro il 3% negli individui con "aorta normale") e le calcificazioni dell'aorta ascendente sono un fattore di rischio altamente significativo, poichè è proprio al momento del clampaggio e del declampaggio dell'aorta che si verifica la più elevata mobilizzazione di emboli
COMPLICANZE POLMONARI
Si possono instaurare complicanze infettive ( focolai broncopneumonici ) dovute al protrarsi dell'intubazione ed ai deficit immunitari dei pazienti cardio - operati, pneumotorace, versamento pleurico. Le complicanze infettive possono essere molto gravi e mettere in pericolo la vita del paziente.
COMPLICANZE RENALI
La circolazione extracorporea può causare un'ipoperfusione renale con conseguente insufficienza renale acuta post-operatoria ed oligo - anuria, in genere reversibile dopo qualche settimana, che va trattata con sistemi di ultrafiltrazione e/o dialisi.
COMPLICANZE INFETTIVE
La mediastinite è senza dubbio la più temibile. Ricerche cliniche hanno dimostrato che il rischio di insorgenza di una mediastinite è più elevato nei pazienti diabetici, obesi, politrasfusi e quando si prolunga il tempo dell'intervento o si impiegano farmaci adrenergici. In particolare il prelievo di entrambe le AMI, soprattutto nei pazienti diabetici, esporrebbe al rischio di complicanze sternali.
PERVIETA' DEI CONDOTTI
A 15 anni circa l'85% delle arterie mammarie interne risultano pervie, mentre solo il 45% dei graft in vena safena risulta pervio. A 10 anni risulta pervio il 100% delle arterie mammarie interne, il 96% delle arterie gastroepiploiche, il 95% delle arterie epigastriche inferiori ed il 94% delle arterie radiali.
TROMBOSI GRAFT IN SAFENA
NUOVE TECNICHE
HEART PORT
E' una procedura chirurgica con accesso mininvasivo ( di solito si realizza una minitoracotomia anteriore sinistra ) effettuata in CEC, che utilizza la cannulazione dell'arteria e della vena femorale ed un catetere provvisto di palloncino che occlude l'aorta ( clampaggio interno ). Può essere utilizzata nella sostituzione della valvola mitrale e nella chiusura delle comunicazioni interatriali.
INTERVENTI A CUORE BATTENTE ( OFF PUMP )
Il razionale di questo approccio risiede nella convinzione che la CEC sia un fattore importante nella genesi delle complicanze postoperatorie per cui qualsiasi tecnica che non ne preveda l'utilizzo ed elimini contemporaneamente le manipolazioni dell'aorta ascendente realizza una condizione di minore invasività rispetto all'intervento convenzionale. Gli interventi a cuore battente possono essere eseguiti per sternotomia mediana o per minitoracotomia ( soprattutto minitoracotomia anteriore sinistra ) e richiedono l'impiego di stabilizzatori a suzione o a pressione per " immobilizzare " il vaso da trattare, una bradicardia farmacologicamente indotta ed un'attenta gestione anestesiologica dell'emodinamica del paziente. Le indicazioni all'intervento off pump sono costituite da gravi patologie quali broncopatie croniche, vasculopatie cerebrali, insufficienza renale, neoplasie. Controindicazione è invece costituita da vasi coronarici calcifici, intramiocardici e di calibro inferiore a 1 - 1,5 mm.
Nei pazienti inoperabili è stata proposta la rivascolarizzazione transmiocardica mediante laser. E' una metodica che, attraverso l'esecuzione di veri e propri fori che dall'epicardio raggiungono l'endocardio, consente una sorta di rivascolarizzazione cardiaca ( il sangue scorre attraverso questi canali: è stato chiamato anche in causa un meccanismo di neoangiogenesi ) ed un miglioramento clinico e della classe funzionale. E' stato chiamato in causa anche un meccanismo di denervazione sensitiva, secondo cui il trattamento con il laser porterebbe all'interruzione di nervi cardiaci sensitivi, abolendo il trasporto degli stimoli dolorosi durante gli episodi di ischemia miocardica. I risultati sono tuttavia contrastanti , discreti nell'immediato, incerti nel medio e lungo periodo, ed anche contrastanti sono i risultati degli studi anatomici riguardo alla pervietà dei fori creati.

RIVASCOLARIZZAZIONE MEDIANTE LASER
![]() |
| Appunti su: arterie mammarie interne, coronarie e marginali, arteria mammaria interna usata nel by pass ha lamina elastica continua, flussi succlaveari, |
|
| Appunti Bellezza | ![]() |
| Tesine Bambini | ![]() |
| Lezioni Nutrizione | ![]() |