![]() |
|
| Appunti universita |
|
| Visite: 4298 | Gradito: |
Leggi anche appunti:Oncologia pediatricaONCOLOGIA PEDIATRICA Un bambino ogni 600 sviluppa un tumore nei primi 15 anni Oligoidramnios e polidramniosOLIGOIDRAMNIOS E POLIDRAMNIOS Come si misura il liquido amniotico Il liquido Virus dell'epatite cVIRUS DELL'EPATITE C · HCV è un ribovirus |
![]() |
![]() |
Dal punto di vista anatomopatologico possiamo riscontrare la fusione delle commissure, la fibrosi e lfispessimento dei lembi, ulcerazioni e calcificazioni, ma anche fibrosi e retrazione delle corde tendinee e dei muscoli papillari determinando pertanto un quadro di stenosi, di insufficienza o di steno - insufficienza.
Lfeziologia della stenosi valvolare aortica acquisita può essere riferita a varie cause principali: valvulopatia reumatica, distrofia calcifica primaria, endocardite batterica o può instaurarsi su una valvola bicuspide.
a) Nella valvulopatia reumatica la deformazione valvolare è patognomonica: le cuspidi appaiono ispessite e le commissure fuse per fibrosi post-infiammatoria. Sono altresì frequenti le deposizioni calcifiche secondarie.
b) La stenosi aortica da distrofia calcifica primaria è definita anche stenosi aortica idiopatica calcifica , in quanto la natura della degenerazione calcifica dei lembi è sconosciuta. Dal punto di vista anatomico, a differenza della valvulopatia calcifica reumatica, le commissure appaiono abitualmente libere e la stenosi è imputabile alla rigidità delle cuspidi in conseguenza delle deposizioni calcifiche .
Possiamo distinguere una stenosi aortica di grado lieve con area valvolare maggiore di 1,5 cm² ( ha di solito una lenta progressione della durata di decenni ma si sono verificati casi con evoluzione più rapida), stenosi aortica di grado moderato con area valvolare tra 1,5 e 0,8 cm² ( ha un tempo medio di aggravamento variabile; nella metà dei casi perchè la stenosi diventi grave è necessario circa un decennio), stenosi aortica grave con area valvolare inferiore a 0.8 cmq. (può restare asintomatica per anni e la comparsa del primo sintomo modifica sostanzialmente la prognosi: nei 3 anni che seguono la comparsa del primo sintomo si verifica il decesso di una quota compresa tra 1/3 e 1/2 dei pazienti).
Il restringimento valvolare crea un gradiente pressorio tra ventricolo ed aorta e quando lfostio valvolare si riduce a meno di un quarto del normale, il gradiente pressorio medio supera i 50 mm Hg e si parla allora di stenosi critica.
Il sovraccarico di pressione sistolica stimola unf ipertrofia concentrica del ventricolo sinistro, ma il meccanismo di compenso dellfipertrofia comporta un aumento del consumo di ossigeno miocardico ( ischemia miocardica ) ed una riduzione della compliance ventricolare sinistra con aumento della pressione diastolica ventricolare tale che per ottenere un riempimento completo del ventricolo, lfatrio sinistro si ipertrofizza e comincia a dilatarsi; lfinsorgenza di fibrillazione atriale può far precipitare questo equilibrio precario.
Lfaumento della pressione ventricolare sinistra fa aumentare il postcarico sinchè il ventricolo sinistro non riesce pù ad espellere in sistole tutto il sangue che riceve in diastole. Allora salgono le pressioni in atrio sinistro e nel circolo polmonare e compaiono i segni della congestione polmonare ( dispnea da sforzo ). Nellfaorta ascendente, a valle dellfostio valvolare, si può realizzare unfectasia segmentaria, determinata dallfeffetto dei vortici post - stenotici.
Lfangina è presente come unico sintomo o in associazione agli altri nel 50-70 % dei pazienti ed in quelli senza malattia coronarica essa è probabilmente dovuta alla discrepanza tra lfofferta e la domanda di ossigeno di un ventricolo sinistro ipertrofico.
Circa il 30-50 % dei pazienti con stenosi aortica importante hanno episodi sincopali e la causa più accreditata è quella di unf eccessiva vasodilatazione periferica dovuta ad un alterato meccanismo barocettoriale.
Sintomi da ipertensione venosa polmonare ( dispnea, ortopnea, dispnea parossistica notturna o edema polmonare ) sono presenti nel 30-40% .
La sopravvivenza media dei pazienti dopo la comparsa di angina è circa 4 anni, dopo la comparsa di sincope è di circa 3 anni e dopo lfinsorgenza di scompenso cardiaco congestizio è circa 2 anni.
La morte avviene per scompenso cardiaco congestizio, sebbene una piccola parte muore di morte improvvisa, presumibilmente a causa di aritmie ventricolari maligne.
La sostituzione valvolare aortica è raccomandata in pazienti che presentano sintomi da ricondurre alla stenosi aortica. Nei pazienti asintomatici molti autori raccomandano lfintervento chirurgico se lfarea valvolare è inferiore a 0,7 cm² o il gradiente supera i 70 mm Hg.
INSUFFICIENZA AORTICA
a) nella valvulopatia reumatica cronica la retrazione delle cuspidi prevale sulla fusione delle commissure e pertanto lforifizio valvolare rimane parzialmente aperto durante la diastole.
b) lfendocardite infettiva, specie da stafilococco aureo, è fortemente necrotizzante e determina quindi con facilità perforazione e lacerazione delle cuspidi ( endocardite ulcerativa ) con gravissima incompetenza valvolare.
Lfendocardite batterica può localizzarsi su valvola normale o su valvola precedentemente alterata, sia per anomalie congenite – quali la valvola bicuspide – che per valvulopatia reumatica. In queste ultime condizioni, lfagente batterico responsabile è abitualmente meno virulento ( frequente è lo streptococco viridans ) e, sotto il profilo morfologico, lfendocardite tende in tal caso ad assumere lfaspetto vegetante piuttosto che destruente ( endocardite ulcero polipoide ).
c) La forma più frequente di insufficienza valvolare aortica è quella di natura degenerativa,
determinantesi in seguito alla dilatazione del bulbo aortico e/o ai processi aterosclerotici. In questa condizione lfindebolimento della parete aortica sfianca lfanulus valvolare, impedendo ai lembi di collabire; questa forma è caratteristica della sindrome di Marfan, della degenerazione mixoide, della medionecrosi cistica e, anche se meno frequente, della spondilite anchilosante e della malattia di Takayashu .
d) la sifilide in stadio avanzato, quale causa di insufficienza valvolare aortica, anchfessa secondaria a dilatazione dellfaorta ascendente, è poco frequente al giorno dfoggi, stante la curabilità dellfaffezione fin dal suo primo stadio.
Il ventricolo sinistro riesce a far fronte allfaumentato carico di lavoro grazie alla dilatazione, secondo la legge di Starling ( il cuore raggiunge talvolta dimensioni enormi che giustificano la definizione di cor bovinum ) . Alla dilatazione il ventricolo risponde con lfipertrofia ( legge di Laplace ), cioè con un aumento dello spessore delle pareti, che controbilancia lfaumento del raggio ventricolare, riportando il postcarico a valori quasi normali.
Ad ogni sistole si ha lfespulsione di una quantità di sangue anche doppia rispetto al normale ( costituita dalla quota che rigurgita e da quella anterograda ) e per questo motivo tende ad aumentare la pressione sistolica arteriosa e vengono stimolati i barocettori carotidei con conseguente vasodilatazione periferica riflessa che costituisce un utile meccanismo di compenso. In conclusione: dilatazione ventricolare con ipertrofia e vasodilatazione periferica consentono al cuore, nei casi cronici , di mantenere una normale efficienza per molti anni, nonostante il vizio valvolare, ma quando la funzione ventricolare comincia a deteriorarsi si assiste spesso ad un rapido e quasi catastrofico peggioramento. Quando la portata cardiaca diviene insufficiente rispetto alle esigenze dellforganismo, si instaura una vasocostrizione riflessa che tende a mantenere costante il flusso negli organi nobili; ciò tuttavia comporta un aumento della quota di sangue che rigurgita in ventricolo, unfulteriore riduzione della portata cardiaca, unfaccentuazione della vasocostrizione riflessa e così via in un circolo vizioso che può condurre a morte rapidamente il paziente in mancanza di un intervento terapeutico tempestivo. Quando il ventricolo non riesce più a far fronte al sovraccarico di volume cui è sottoposto compaiono i primi sintomi gravi ( dispnea e angina ).
Lfinsufficienza aortica acuta è trattata mediante sostituzione valvolare aortica in urgenza, mentre lfinsufficienza aortica cronica compensata è ben tollerata dalla maggior parte dei pazienti.
La sostituzione della valvola aortica non è correntemente raccomandata nei pazienti asintomatici a meno che non vi sia un deterioramento della funzione ventricolare ( una frazione di eiezione inferiore al 50 % con un diametro diastolico di circa 75 mm o un diametro telesistolico di circa 50 mm costituisce una indicazione allfintervento chirurgico ).
La sostituzione della valvola aortica è indicata se il paziente presenta sintomi di insufficienza cardiaca congestizia o ridotta tolleranza allo sforzo e comunque essa dovrebbe essere eseguita prima dellfinstaurarsi di danni irreversibili del miocardio.
TECNICA CHIRURGICA
Sternotomia longitudinale
mediana. Apertura e sospensione del pericardio. Eparinizzazione generale e
cannulazione dellfaorta e dellfatrio destro a mezzo di cannula venosa unica.
Inizio della circolazione extracorporea con raffreddamento progressivo della
temperatura del paziente fino a
raggiungere 33
INTERVENTO DI ROSS ( SOSTITUZIONE DELLA VALVOLA AORTICA CON OMOINNESTO POLMONARE )
Consiste nella sostituzione della valvola aortica con la valvola polmonare prelevata dallo stesso paziente e nella ricostruzione del tratto di efflusso del ventricolo destro con un omoinnesto o g homograft g (tratto prossimale di aorta o polmonare, prelevato dal cadavere e comprendente la valvola). La valvola polmonare autologa in posizione aortica è la migliore protesi biologica utilizzabile, essendo autologa e vitale ed il suo deterioramento è notevolmente più lento di quanto rilevato con le protesi biologiche eterologhe ( questa valvola richiede la sostituzione in circa il 15% dei casi a 25 anni dallfimpianto). Ha frenato la diffusione di questo intervento soprattutto la difficoltà di reperire lfomoinnesto per la ricostruzione della via di efflusso polmonare.
La sindrome di Marfan è però una controindicazione a questo intervento a causa delle alterazioni strutturali dovute alla collagenopatia.
Lfapproccio funzionale allfanatomia della valvola mitrale impone di rammentare due fondamentali concetti:
a) Lfostio valvolare è costituito non soltanto dallo spazio esistente fra i lembi in fase di apertura, ma anche dagli spazi interposti fra le corde tendinee;
b) La chiusura dellforifizio valvolare è garantita sia dal collabimento dei lembi valvolari, sia dalla contrazione sfinterica dellfannulus, che riduce lfarea valvolare del 20-40 %.

STENOSI MITRALICA CON TROMBOSI MASSIVA DELLfATRIO SINISTRO

VALVULOPATIA MITRALICA REUMATICA
Tra tutti i vizi valvolari , la stenosi mitralica è quella più strettamente dipendente da unf eziologia reumatica. In base allfarea valvolare possiamo classificare la stenosi mitralica in lieve ( area > 2 cm² ), moderata ( area compresa tra 1 e 2 cm² ) e severa con area < 1 cm².
Dal punto di vista della localizzazione della lesione, si possono distinguere due modalità di presentazione anatomica della stenosi valvolare reumatica a seconda che vengano coinvolti i lembi valvolari o rispettivamente lfapparato tendineo:
a) il coinvolgimento esclusivo dei lembi valvolari comporta la riduzione areale dellforifizio, a causa della loro fusione a livello delle commIssure e la rigidità dei lembi è spesso aggravata da deposizioni calcifiche. La stenosi mitralica sostenuta dalla fusione dei lembi a livello delle commissure è trattabile chirurgicamente con la semplice commissurotomia ad eccezione però delle forme con deposizioni calcifiche, laddove si mostra in genere necessario il ricorso alla sostituzione valvolare protesica;
b) il coinvolgimento esclusivo delle corde tendinee, con rispetto delle commissure, determina la stenosi sottovalvolare che è pertanto legata alla fusione delle corde con scomparsa degli spazi intercordali (lfostio valvolare si presenta con aspetto ad imbuto ).
In entrambe le forme di stenosi mitralica, ma con predilezione assoluta per le aree commissurali, le complicanze più frequenti sono rappresentate dalla formazione di trombi.
Nellfadulto normale la superficie dellfostio valvolare è di circa 4-6 cm². Quando la superficie valvolare si riduce a meno di 2 cm², il passaggio di sangue in diastole dallfatrio sinistro al ventricolo sinistro può essere mantenuto solo aumentando la pressione a livello dellfatrio sinistro; si genera cioè un aumento del gradiente diastolico transmitralico che è la caratteristica fondamentale della stenosi mitralica. Il sovraccarico di pressione nellfatrio sinistro comporta una progressiva dilatazione di questa cavità, che può raggiungere notevoli dimensioni, e determinare lfinsorgenza di fibrillazione atriale che a sua volta, determinando una stasi ematica nellfatrio sinistro, favorisce la formazione di trombi allfinterno della cavità atriale. La trombosi, sia valvolare che atriale, è responsabile delle frequenti embolie sistemiche, talora anche fatali, che fanno parte del quadro clinico della valvulopatia mitralica ( una curiosità anatomo - patologica è rappresentata dai cosidetti trombi ga pallah , conseguenti al distacco di masse trombotiche dalle pareti striali, che possono fluttuare liberamente nella cavità atriale ). Col passare del tempo si può osservare una deposizione calcifica ga guscioh sulla massa trombotica rotondeggiante. Le ripercussioni sul letto vascolare polmonare sono costanti in questa valvulopatia e sono costituite dalla dilatazione delle vene polmonari, espressione anatomica dellf ipertensione polmonare.
Lfevoluzione della malattia è abitualmente lenta: tra lfepisodio di cardite reumatica che provoca lfiniziale lesione valvolare e la comparsa dei primi sintomi intercorrono in media due decenni.
La dispnea è il sintomo principale, dapprima da sforzo ed in seguito anche a riposo, sino a manifestarsi come dispnea parossistica notturna con subedema o edema polmonare.
Il cardiopalmo, dapprima parossistico e poi stabile, è dovuto ad aritmie sopraventricolari e poi alla FA; comuni sono lfastenia e la ridotta tolleranza allo sforzo. Frequenti complicanze sono le embolie sistemiche (cerebrali, periferiche e viscerali ) e lfemoftoe ( dovuto alla rottura di vene bronchiali congeste ).
La valvulopatia cronica reumatica è molto raramente responsabile di unfinsufficienza valvolare pura: in questfevenienza prevalgono i fenomeni di retrazione post-infiammatoria del tessuto valvolare rispetto ai fenomeni di fusione commissurale. Più frequentemente la lesione reumatica della valvola mitrale presenta tendenza alla evoluzione anatomica verso la steno-insufficienza.
Lfendocardite batterica può essere responsabile di insufficienza valvolare, sia mediante perforazione o lacerazione delle cuspidi, sia per rottura delle corde tendinee, e la continuità fibrosa mitro-aortica può far sì che lfinfezione, dalla valvola mitralica, possa talora estendersi alla valvola aortica.
Lfeziologia degenerativa è la più frequente causa di insufficienza valvolare mitralica. Il substrato anatomo- patologico è costituito dalla trasformazione progressiva del tessuto connettivale fibroso dei lembi valvolari in tessuto lasso ( cosiddetta degenerazione mucoide della valvola mitralica - floppy mitral valve ). In conseguenza della loro lassità, i lembi valvolari diventano ridondanti e sotto la spinta sistolica assumono un aspetto cupoliforme tale da farli prolassare nella cavità atriale di sinistra. Poichè il processo degenerativo coinvolge anche le corde tendinee, questfultime si allungano e si assottigliano.
Lfischemia miocardica può essere causa di insufficienza sia acuta che cronica per rottura o disfunzione di un muscolo papillare. Nella miocardio-sclerosi post infartuale, la retrazione cicatriziale del muscolo papillare distorce lfapparato valvolare e ne impedisce la corretta chiusura durante la sistole ventricolare.
La calcificazione dellfanulus mitralico determina la rigidità dellfanello valvolare, per cui viene a mancare la contrazione sfinterica dellfanulus e conseguente insufficienza valvolare.
Alcune cardiomiopatie primitive possono essere causa di insufficienza valvolare mitralica ed in particolare la cardiomiopatia dilatativa in cui lo sfiancamento della cavità ventricolare può determinare lo stiramento dellfapparato tensore impedendo la perfetta coaptazione dei lembi al momento della chiusura valvolare. Nella cardiomiopatia ipertrofica invece lfipertrofia concentrica, talora asimmetrica, determina una marcata riduzione della cavità ventricolare, avvicinando criticamente al piano valvolare i punti di inserzione dei muscoli papillari tanto che nella fase sistolica i lembi valvolari tendono a prolassare nella cavità atriale.
FISIOPATOLOGIA
Lfinsufficienza valvolare determina un sovraccarico di volume del ventricolo sinistro, che si dilata e si ipertrofizza ed il rigurgito mitralico determina anche una progressiva dilatazione atriale.
Il disturbo emodinamico principale in questi pazienti è pertanto la riduzione della portata cardiaca, ma successivamente il ventricolo sinistro può andare incontro ad un deficit contrattile con aumento della pressione telediastolica; inoltre la dilatazione del ventricolo sinistro può causare una dilatazione dellfanulus mitralico e quindi un aumento secondario del rigurgito, instaurando un circolo vizioso che porta allo scompenso.
Nel caso di unfinsufficienza mitralica acuta ( rottura di corde tendinee in corso di endocardite infettiva, o perforazione dei lembi o rottura/disfunzione di un muscolo papillare in caso di infarto miocardico ) il rigurgito massivo porta rapidamente ad edema polmonare acuto.
Nei pazienti con insufficienza mitralica cronica non compaiono sintomi fino a quando il ventricolo sinistro non si scompensa, ed in tal caso i sintomi tipici sono lfastenia, la dispnea, la ridotta tolleranza allo sforzo ed il cardiopalmo.
CHIRURGIA CONSERVATIVA
FUSIONE COMMISSURALE
Tipicamente secondaria a malattia reumatica, la fusione delle commissure determina una ridotta escursione dei lembi valvolari ed il classico intervento conservativo in questo caso consiste nella commissurolisi o commissurotomia, che permette di allargare notevolmente lfarea funzionale della valvola e mobilizzarne i lembi. Tale procedura viene eseguita con la punta del bisturi, seguendo la linea determinata dalla fusione commisurale ed iniziando dalla parte più vicina allfanulus.
COMMISSUROTOMIA 


Le protesi meccaniche possono essere a palla, a disco oscillante e flusso asimmetrico, oppure ad emidischi cernierati e flusso simmetrico.

PROTESI A PALLA PROTESI A DISCO PROTESI A DUE EMIDISCHI
le protesi
biologiche possono essere di origine porcina ( valvola aortica di
maiale ), con (stented) e senza stent (stentless); oppure ricavate dal
pericardio bovino con (stented) e senza stent (stentless).

PROTESI PORCINA PROTESI PERICARDICA PROTESI STENTLESS
Le protesi meccaniche e quelle biologiche con stent sono impiantabili in sede aortica, mitralica e tricuspidalica, le protesi stentless in sede aortica o in sede mitralica.
Le protesi valvolari meccaniche sono costituite da un anello dfinserzione metallico rivestito di teflon, da una gabbia o un supporto, da un elemento mobile ( palla, disco, emidischi ) e sono caratterizzate dall'ottima durata dovuta ai materiali utilizzati ( grafite o titanio rivestiti da carbonio pirolitico ).

PROTESI A DUE EMIDISCHI FOTO INTRAOPERATORIA

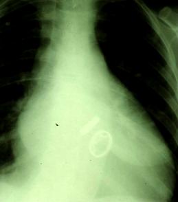
SOSTITUZIONE VALVOLARE MITRO-AORTICA RX TORACE IN PAZ. CON DOPPIA PROTESI
La durata di una protesi meccanica e' praticamente illimitata, ma il principale svantaggio di queste valvole e' dato dalla loro trombogenicità e quindi dalla necessità di seguire una terapia anticoagulante per tutta la vita. Infatti il sangue, a contatto con il carbonio ( come con qualunque materiale artificiale ) e soprattutto nelle zone della valvola a flussi più bassi, tende a formare dei coaguli che potrebbero bloccare il funzionamento della protesi o andare in circolo determinando pericolose tromboembolie. Il paziente dovrà quindi assumere ogni giorno una certa dose di farmaco anticoagulante ( warfarin o dicumarolici ) e dovrà sottoporsi periodicamente ad un prelievo di sangue per il controllo del livello di anticoagulazione ( se troppo basso, il sangue tenderà a coagulare ugualmente, se troppo alto il paziente corre il rischio di emorragie ).
TROMBOSI DI PROTESI MECCANICA MONODISCO
Le protesi valvolari biologiche sono costruite utilizzando valvole
cardiache aortiche porcine fissate in glutaraldeide oppure ritagliando il pericardio bovino
per ottenere tre lembi che poi vengono suturati per ottenere una g neo-valvola g. Queste valvole
richiedono una terapia anticoagulante solo per un breve periodo (in genere 3
mesi) in quanto il sangue non tende a coagulare a contatto con questi tessuti.

IMPIANTO DI PROTESI BIOLOGICA DISFUNZIONE PROTESI BIOLOGICA
Il loro principale svantaggio consiste nella durata limitata, inversamente proporzionale all'età del paziente. In un paziente giovane (sotto i 40 anni), queste valvole durano 8-10 anni al massimo, mentre in uno anziano possono durare anche 15 anni ( in rari casi anche di più ). Questa differenza è dovuta al metabolismo del calcio, che nel giovane è più attivo e che quindi porta al deposito di calcio nei foglietti valvolari con conseguente indurimento. Le protesi biologiche più recenti sono sottoposte ad un trattamento con particolari sostanze chimiche allo scopo di ridurre la deposizione di calcio sulla superficie dei foglietti e prolungarne pertanto la durata. Le protesi stentless hanno il vantaggio aggiuntivo di non avere un supporto rigido, che pare responsabile dello stress e del deterioramento delle protesi biologiche con stent, e quindi dovrebbero presentare una maggiore durata, oltre che una migliore emodinamica con minor gradiente residuo. In casi particolari possono essere utilizzati altri tipi di protesi, come gli homograft aortici (prelevati da cadavere umano), oppure si può utilizzare un'altra valvola dello stesso paziente, impiantata al posto di quella malata ( intervento di Ross

LIBERTAf DA DETERIORAMENTO STRUTTURALE DELLE
PROTESI BIOLOGICHE CON STENT E STENTLESS
![]() |
| Appunti su: rx sostituzione valvola, hcv e valvulopatie, intervento di ross dispensa, protesi valvolari meccaniche materiale monodisco, intervento chirurgico per valvulopatia mitro aortica edge, |
|
| Appunti Bambini | ![]() |
| Tesine Bellezza | ![]() |
| Lezioni Nutrizione | ![]() |