![]() |
|
| Appunti universita |
|
| Visite: 2205 | Gradito: |
Leggi anche appunti:Sindrome di Pierre-RobinSindrome di Pierre-Robin Poi vi sono le malformazioni del bottone mandibolare in Anatomia della cuteANATOMIA DELLA CUTE La cute è un organo che protegge l'organismo dal OPPIOIDI - Abuso in gravidanzaOPPIOIDI - Abuso in gravidanza Si stima che il 2-3% dei neonati siano esposti |
![]() |
![]() |
Classificazione di Angle - chirurgia maxillo-facciale
Nei primi anni del , il dr. Edward H. Angle, propose la classificazione che porta il suo nome. Lo studio più conosciuto per quanto riguarda lo standard di riferimento delle posizioni, si basa sul fatto che, in una dentatura decidua perfetta, il primo molare superiore, erompe a 6 anni in una posizione definita e stabile, stabilendo così la posizione degli altri denti posteriore, e determinando così la chiave di occlusione posteriore. In base al rapporto che intercorre quindi tra la cuspide mesio-vestibolare del primo molare superiore, e il solco mesio-vestibolare del primo molare inferiore, Angle, classificò i tipi di
occulsione
in tre
classi:

- I CLASSE: detta anche Normo- cclusione, si ha un rapporto di prima classe quando la cuspide mesio-vestibolare del primo molare superiore, ingrana con il solco mesio-vestibolare del primo molare inferiore;
- II CLASSE o Disto occlusione, si ha quando la cuspide mesio-vestibolare del primo molare superiore, occlude mesialmente al solco mesio-vestibolare del primo molare

inferiore. Questa classe, a seconda della posizione degli anteriori, è divisa in due sottoclassi dette divisioni: I DIVISIONE: si ha una seconda classe, a livello posteriore, ed un aumento dell overjet negli anteriori; II DIVISIONE: si ha sempre, a livello posteriore, una seconda classe, ma si presenta un assenza di overjet a livello anteriore, determinata dalla palatoversione dei frontali superiori.
- III CLASSE: detta anche mesio- occlusione, si ha quando la cuspide mesio-vestibolare del primo molare superiore ingrana distalmente al solco mesio-vestibolare del primo molare inferiore.)

Questa classificazione è un punto di riferimento dell occlusione che ci da anche una realtà scheletrica. Per esempio per avere una diagnosi più precisa noi abbiamo bisogno di avere delle informazioni radiografiche. Noi vediamo che i denti non chiudono bene però non ci rendiamo conto immediatamente dell osso interessato (a meno che non sia una persona molto esperta che fa diagnosi immediatamente). La seconda classe ha un incidenza del ; vuol dire che la mandibola è piccola rispetto al mascellare superiore, quindi il 6 dente superiore si trova leggermente avanti rispetto al 6 dente inferiore. Questo da un punto di vista dentale, da un punto
di vista scheletrico, cioè facendo l RX, il mascellare superiore è più avanti della mandibola. La terza classe ha un incidenza dell , ed è il contrario della seconda classe, cioè la mandibola è più avanti; sarebbe il classico progerismo con profilo concavo leggermente.
I fattori eziologici sono più o meno sempre gli stessi:
Genetiche (ci sono state in passato gli Asburgo che erano affetti da progerismo; quindi il padre e la madre affetti da progerismo avranno quasi sicuramente dei figli con la patologia).
Può subentrare una patologia funzionale (esistono dei bambini che prendono il vizio di tenere in bocca una cosa e quindi determinano la comparsa della patologia per la malposizione della mandibola).
Le adenoidi possono influenzare. Ci possono essere delle sovrainfezioni o allergie che determinano la comparsa di ipertrofia delle adenoidi e quindi ostruzione respiratoria che obbliga il paziente a respirare con la bocca e di conseguenza ad avere la mandibola "sciolta", che cresce senza avere davanti gli incisivi che sono il naturale freno della sua crescita.
Macroglossia.
Infezioni.
I fattori generali sono quelli in cui la madre ha condizionato, mentre i fattori locali sono:
Il trauma da parto.
Malattie parodontali.
Una lunga serie di patologie che possono essere la causa di alterazioni locali. I fattori funzionali sono sicuramente i più importanti:
Ipertrofia dei turbinati
Difetti di formazione della lingua.
Difetto della suzione e quindi spingono la lingua verso l avanti e quindi favorisce il progerismo.
Le abitudini iniziali che sono quelle che esercitano pressione sui tessuti endoscheletrici (ciucciotto, dito in bocca e tutta una serie di cose che il bambino non riesce ad eliminare e che condizioneranno la crescita e lo sviluppo .
Comunque ci sono determinate strutture che sono sotto il diretto controllo genetico, per es. il setto nasale (breve perentesi sulle rinoplastiche che si consiglia di fare dopo lo sviluppo perché altrimenti il setto continua a crescere in esuberanza).
Ma anche la base cranica, la cavità oculare, il cervello (scatola cranica) sono influenzati geneticamente.
Invece lo sviluppo della cavità orale è influenzata anche da fattori epigenetici; molto dipende anche dal tipo di alimentazione che noi facciamo, ciò che noi mangiamo. E' chiaro che uno che non è abituato a masticare cose piuttosto dure avrà una crescita diversa della mandibola. Un esempio è quello della razza nera che ha avuto una certa alimentazione che ha indotto geneticamente a far si che essi siano dei protrusi (presentano protrusione della mandibola) mentre i bianchi no. Ciò ha influenzato anche un po' i canoni estetici, infatti piace molto di più il profilo leggermente biprotruso rispetto al profilo occidentale che è il classico profilo greco. Il confondersi delle razze ha cambiato le cose. I meccanismi patogenetici:
Ostacolo alla crescita.
Mancato stimolo alla crescita.
Inferiore stimolo alla crescita.
Possono esserci anche alterazioni da
un punto
di vista
spaziale
sia sul piano
sagittale o che sul piano verticale
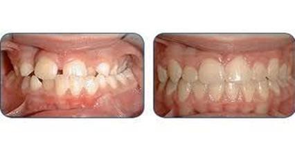
o dei morsi crociati che
possono essere
bilaterali. (esempio
di morso crociato
prima e dopo
l intervento).

Una cosa importante è l aspetto della faccia (=facies). C è un aumento delle dimensioni verticali anteriori e vi è un morso aperto.
Vedete questa è una facies adenoidea: Abbiamo una dimensione sia anteriore che posteriore, con la bocca leggermente aperta, la faccia lunga e il labbro che non riesce a coprire totalmente le arcate dentali.
Possiamo avere una rotazione eccessiva della mandibola verso l alto che crea una faccia corta con morso coperto (Si parla di morso coperto quando si verifica un eccessiva sovrapposizione verticale dei denti anteriori).
Importante ricordare che
non sempre è la
mandibola che
è più grande, ma
ci può essere una
condizione in
cui la mandibola è normale ma
il mascellare è piccolo. Per capire dove sta
il problema si adopera la
teleradiografia, che
permette l esame
cefalometrico: si prendono
dei punti sul profilo
e si valuta la posizione degli elementi dentali, il mascellare superiore, la base cranica, la sella turcica, i loro gradi di inclinazione ecc.
Si
fanno
una
serie
di calcoli.
Per esempio
l angolo
tra la
base
cranica e la inclinazione della mandibola deve avere un valore di °. Qualora sia maggiore
o minore
non
è nei
canoni.
Altro valore importante è l inclinazione dei denti.
Se c è una discrepanza notevole tra le basi scheletriche, gli elementi per riuscire a trovare un occlusione si spostano quindi raggiungono una migliore posizione autonomamente, però ovviamente non è ottimale da un punto di vista estetico (si ha la faccia lunga ecc.); se non si compensa autonomamente questi pazienti hanno vere e proprie difficoltà a masticare. Per la verità i motivi veri sono prevalentemente di ordine estetico.
A volte succede però che a 4 anni l adolescente va dall ortodontista che non lo manda dal chirurgo maxillo-facciale perché spera di curarlo con gli apparecchi dentali ecc . Quando l adolescente completa lo sviluppo però non si piace perchè ha comunque la faccia strana, se la prende con l ortodontista a causa del fatto che non l ha mandato dal chirurgo. Inoltre il chirurgo si trova anche in difficoltà perché deve rifare il lavoro inverso e ricreare le condizioni di malformazione perchè altrimenti non potrebbe operare (questa cosa è importantissima! E' necessario creare nuovamente lo spazio tra le arcate di modo che questo possa essere corretto chirurgicamente).
Altre cose che vengono valutate sono i tessuti molli (si fa una fotometria) che molto spesso possono essere in eccesso sebbene le parti scheletriche siano armoniche e normali. Possiamo avere un eccesso di tessuto sottocutaneo, il labbro troppo corto, il naso troppo aquilino, sul tipo di sorriso (si devono esporre i denti durante il sorriso; esistono persone che hanno il mascellare troppo corto per cui nel momento in cui sorridono non si vedono i denti o si vedono eccessivamente). Ci sono studi approfonditissimi dei chirurghi maxillo-facciali e plastici sull argomento. E' chiaro che se uno ha il terzo medio aumentato rispetto alla regione inferiore della mandibola, bisogna rendere più armonioso il profilo e ridurre la porzione verticale del terzo medio della faccia.
Col confondersi delle razze si resta un po' perplessi sul lavoro da fare. E' come la progettazione di un palazzo in quanto devo decidere di quanti millimetri fare avanzare o arretrare la mandibola.
Una faccia può completamente essere trasformata sempre nel rispetto della funzione. Si può cercare di raggiungere il profilo biprotruso che si preferisce a quello meno protruso anche perchè distende meglio i tessuti molli. Sulla Rx si fa una simulazione di quanto deve avanzare e si costruiscono delle immagini.
Altra procedura è l osteosintesi (se voglio aumentare la massa di un osso : Prima non si mettevano le placche, ma si metteva il paziente in blocco sul mascellare alimentando con un sondino, invece adesso con delle viti e placche il paziente viene subito dimesso (si deve stare solo attenti alle ferite dalla muscosa del cavo orale).
![]() |
| Appunti su: sindrome di Angle, classificazione di angle, |
|
| Appunti Bellezza | ![]() |
| Tesine Nutrizione | ![]() |
| Lezioni Bambini | ![]() |