![]() |
|
| Appunti universita |
|
| Visite: 2020 | Gradito: |
Leggi anche appunti:Virus della epatite eVIRUS DELLA EPATITE E · È un ribovirus, Tecniche cromatograficheTecniche cromatografiche La cromatografia è una tecnica per la separazione Quali sono i fattori che influenzano lo sviluppo di malformazioni?Quali sono i fattori che influenzano lo sviluppo di malformazioni? |
![]() |
![]() |
Era il 1901 quando, per primo, il dottor Aloysius Alzheimer definì come demenza senile lo stato patologico in cui versava una sua paziente, Auguste Deter, definendo la patologia della donna «una insolita malattia della corteccia cerebrale». Morta la paziente, all'esame autoptico del telencefalo il dottore vide che «presentava una scarsità di cellule nella corteccia cerebrale e gruppi di filamenti localizzati fra le cellule nervose» . Nove anni dopo, lo psichiatra Emil Kraepelin pubblicò il suo trattato "Psichiatria" in cui chiamava questa patologia Morbo d'Alzheimer.
Auguste Deter

Era il 1901 quando lo psichiatra
mentre l'aggetto "degenerativa" sta ad indicare la tendenza della patologia ad aggravarsi sempre di più, fino alla morte del paziente che ne è affetto. Inoltre, questo aggettivo mette anche in luce la natura della malattia, che vede una degenerazione del tessuto nervoso che finisce con l'essere distrutto.
Patogenesi del morbo d'Alzheimer
Come è stato appena detto, abbiamo a che fare con una patologia degenerativa, cioè che prevede la degenerazione dei tessuti coinvolti. Nel caso dell'Alzheimer sono due i tipi di degenerazioni presenti che infieriscono sul tessuto neurale.
La prima è interna alla cellula ed è detta degenerazione neurofibrillare: il citoscheletro di microtubuli all'interno del citoplasma del neurone viene aggrovigliato dalla proteina TAU, la quale si lega alla tubulina determinando una denaturazione dei microtubuli. In questo modo si rompe la struttura del citoscheletro e i microtubuli diventano incapaci di veicolare le vescicole di sostanze all'interno del neurone, vescicole dove, fra le altre cose, è contenuto anche il neurotrasmettitore. In tale situazione, l'impulso non riuscirà a superare l'assone di tale cellula per giungere al neurone successivo, andando quindi miseramente perso.
La seconda tipologia è esterna ed è causata da placche senili o di β-amiloide: al di fuori nel neurone si deposita lo scarto della proteina amiloide che non viene adeguatamente tagliata dall'enzima γ-secretasi, che dovrebbe troncare l'amiloide in maniera gestibile dal nostro corpo. Quest'accumulo di materiale extra-cellulare rende la cellula infiammata. Il sistema immunitario la riconosce come pericolosa e la fa distruggere dai linfociti.
Come si è detto nella sezione introduttiva sulla memoria, la maggior parte dei neuroni coinvolti nell'archiviazione delle informazioni posseggono sinapsi colinergiche, cioè che impiegano acetilcolina come neurotrasmettitore. In precedenza, nel paragrafo sulle sinapsi si era specificato che l'acetilcolina necessitava un enzima, l'acetilcolinesterasi, per essere degradata una volta permesso il passaggio dell'impulso. Sono proprio queste tipologie di cellule che vengono coinvolte nella degenerazione d'Alzheimer presentando queste caratteristiche.
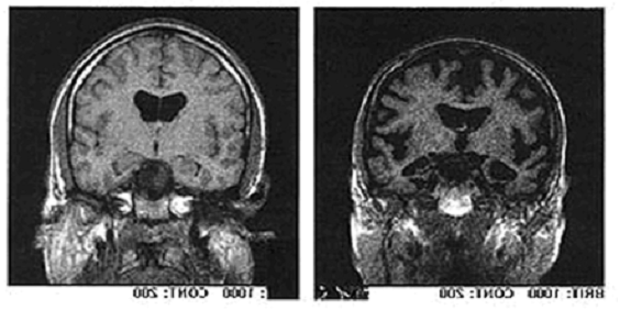
Il cervello di un individuo affetto da Alzheimer appare come un pallone sgonfio a causa della continua eliminazione di neuroni. A sinistra c'è un cervello sano, a destra uno malato.
È assolutamente evidente dalle foto precedenti quanto sia dannoso ed ingente il danno che l'Alzheimer reca al tessuto nervoso: il cervello si sgretola, perde di consistenza accartocciandosi su se stesso. Fu proprio questa la visione che portò il dottor Alzheimer a descrivere il cervello malato dicendo che «presentava una scarsità di cellule nella corteccia cerebrale». Inoltre, le cellule rimaste vengono saturate di placche senili di β-amiloide, rendendo complicati i trasferimenti degli impulsi da una parte all'altra del sistema nervoso. Queste placche sono quelle che Alzheimer definì nell'autopsia di Auguste come «gruppi di filamenti localizzati fra le cellule nervose».
Esordio, sintomi e decorso
Per descrivere meglio esordio, sintomi e decorso della malattia, mi rifarò al libro "Lo sconosciuto", di Nicola Gardini, di discutibile gusto letterario ma di grande precisione nel descrivere l'evoluzione di un paziente affetto d'Alzheimer. Nel libro trattato, il padre dello scrittore, che è anche l'io narrante, è affetto d'Alzheimer e il figlio ne descrive il peggioramento fino alla morte.
La malattia prevede nella maggior parte dei casi una prima fase in cui il paziente è consapevole del peggioramento delle proprie condizioni cognitive. Molto spesso questa fase è associata ad un periodo di depressione, dovuto al conscio calo di prestazioni da parte dell'individuo.
"Prima di perdere l'uso della forchetta o del pettine, mio padre aveva perso quello della penna. Un giorno chiese a mia madre un foglio e una bic e, zitto zitto, si mise in un angolo del tinello a fare pratica, appoggiandosi su un giornale piegato. A un certo punto mia madre si accorse che piangeva. Gli tolse il foglio di mano e lo guardò. Era coperto da una serie di sgorbi, ghirigori brutti e ispidi, che dovevano essere parole. Ecco quello che restava della firma di mio padre." [5]
In questa prima fase della malattia, il paziente affetto da Alzheimer non si ricorda più il corretto uso di determinati oggetti. Questa particolare incapacità mentale viene detta aprassia.
"La psicologa del centro diurno sottoposte il papà all'interrogatorio classico, quello con cui qualsiasi neurologo o psicologo accerta lo stato di un malato d'Alzheimer. «Signor Bruno, che lavoro faceva?». «Il panettiere». Mia madre saltò su: «Il panettiere finché sei stato in Germania! Poi hai fatto l'operaio metalmeccanico!». La psicologa la fulminò con lo sguardo. Io, a bassa voce, le dissi «Mamma, lascia che risponda papà». «Bel lavoro, quello del panettiere.» riprese la psicologa. Mio padre sorrise. Sorrideva spesso, ormai, in presenza di estranei. Era il suo modo di difendersi. «Che pane faceva?». «Tutto. Michette, panini all'olio.». Le parole non gli venivano, le cercava con le mani, raschiando la superficie del tavolo metallico. «La pasta per la pizza.» continuò mia madre, ma si fermò subito. «E pane ne fa ancora?». «Dottoressa,» intervenne di nuovo mia madre «in tanti anni di matrimonio il pane l'ho sempre dovuto comprare al negozio!». «E dove ha fatto il panettiere, signor Bruno?». «In Trentino». «Lei è trentino?». «No, io sono mantovano». «Della provincia di Mantova» precisò mia madre. «Le piaceva il Trentino?». «Tanto!» rispose lui, illuminandosi. «Saprebbe dirmi in che mese siamo, signor Bruno?». «Mah! Marzo.». «E che giorno del mese è?». Ci pensò un po' su, poi cominciò a recitare «A B C D E.». «Mi sa dire che ora è?». Mio padre guardò il suo orologio da polso. Disse, al solito, un'ora a caso. La lettura dell'ora era stata una delle prime cose che aveva perso - insieme ad altre piccole abilità, come allacciarsi le scarpe o la cintura, rispondere al telefono o girare le chiavi nella serratura." [6]
Questo passo mette in luce due aspetti della malattia. Il primo è l'aggravarsi delle condizioni del paziente col passare del tempo; l'individuo si rende sempre meno conto del proprio stato patologico. Inoltre ritornano i segnali dell'aprassia, accompagnati da una latente afasia, cioè una incapacità di associare le parole adeguate ai concetti che si vogliono esprimere. In questo caso non siamo ancora arrivati a questi livello, ma il fatto che il paziente fatichi a trovare le parole, è sintomo lampante che qualcosa, fra l'area di Broca e di Wernicke qualcosa non funzioni già più a dovere, come dovrebbe.
Il secondo aspetto che risalta da questo estratto è l'evidenza che, nel caso di un paziente affetto d'Alzheimer, i malati sono sempre due: il paziente e chi si prende cura di lui. Colui che si prende cura di lui, in questo caso la moglie, viene a trovarsi in una condizione in cui un suo caro, o comunque una persona vicina a sé, degenera dimenticando tutto ed arrivando anche a non riconoscere più nessuno, compresa anche la persona che sacrifica la propria vita per la gestione del malato d'Alzheimer. Non è un dato scientifico, ma un semplice dato statistico: è altissima l'insorgenza di tumori nelle mogli alla morte dei mariti affetti d'Alzheimer.
"Era arrivata la primavera. Quella mattina la mamma crollava dalla stanchezza, perché aveva dovuto assecondare per tutta la notte i capricci di mio padre: ho male qui, ho male lì, massaggiami i polpacci, dammi da bere, chiudi la porta, mettimi un'altra coperta. Il papà, benché avesse dormito pochissimo, non sentiva nessun bisogno di riposare. Anzi, moriva dalla voglia di uscire - cosa che non era più in grado di fare. I tranquillanti avevano smesso di funzionare. Facemmo un giro nel quartiere. Solo di rado ormai ce ne allontanavamo, in tram o in macchina: il papà, reso inquieto dalla distanza, voleva rientrare al più presto, diceva che la Maria lo aspettava e che, se non lo avesse visto tornare subito, avrebbe chiamato la polizia. Lo portai per le vie più battute, sperando che non si disorientasse troppo. Gli descrivevo ogni cosa, come un cicerone: quella è la mia scuola elementare, quella è la chiesa di San Giuseppe, quella è la piscina dove ho imparato a nuotare. Lui camminava a testa bassa, indifferente a tutto quello che lo circondava, indifferente alle mie parole. Aveva perso la capacità di guardare. Passeggiammo, a passi lenti, in mezzo alle villette, davanti alle quali da bambino avevo tanto sognato. Il papà mi stava attaccato al braccio. Il suo peso mi rallentava, mi dava il mal di schiena. Arrivammo in piazza Esquilino, al di là delle rotaie del tram. Volle entrate in chiesa. Ci sedemmo a riposare, perché gli facevano male le gambe. Anch'io non ne potevo più di camminare. «Lo fai per lavoro, vero?» mi domandò, con gli occhi rivolti all'altare, mentre si faceva il segno della croce. «Che cosa?». «Andare in giro con la gente, come stai facendo adesso. O vieni solo con me?». «Come? Non ti ricordi che lavoro faccio?» gli domandai. «Non mi sembra» disse. «Io insegno all'università» gli dissi. «Insegni all'università?! Veramente?». Sembrava che non volesse crederci. E dopo una pausa, molto convinto: «Anche Nicola». «Nicola chi?» chiesi mentre la mia testa tentava disperatamente di negare l'evidenza.
«Mio figlio! Tu lo conosci mio figlio? Si chiama Nicola, no?»" [7]
In questo ultimo estratto si evidenziano due fra gli ultimi sintomi ad emergere negli individui affetti d'Alzheimer. Il primo è il disorientamento topografico, ossia il paziente perde la capacità di orientarsi anche in ambienti a lui molto famigliari, anche nella sua stessa casa. Tuttavia, il peggiore e più logorante deficit cognitivo che affligge i pazienti malati è la prosopognosia, cioè l'incapacità di riconoscere le persone, chiunque esse siano. Questo getta il paziente in uno stato di totale abbandono in quanto, nonostante i cari siano sempre presso di lui, l'individuo non è in grado di riconoscerli, ritrovandosi così improvvisamente solo. Dall'altro lato, il famigliare perde la capacità di dialogare con il paziente perché non viene più riconosciuto e quindi cambiano i rapporti, come se lui e l'individuo affetto d'Alzheimer fossero due sconosciuti.
Con il progredire della patologia, le condizioni cognitive del paziente degenerano sempre di più fino a portarlo in uno stato di completo isolamento, dovuto all'impossibilità di dialogare collegando i concetti da esprimere alle parole. Sempre per lo stesso motivo, non riescono più ad ascoltare in quanto non riescono ad associare le parole che vengono loro rivolte al rispettivo significato. Anche la vista perde di contenuto, perché gli oggetti e le persone che si vedono appaiono come "cose" al paziente estranee ed inavvicinabili.
La morte di un individuo affetto d'Alzheimer avviene il più delle volte a causa di infezioni del tratto respiratorio; il cibo, o molto più banalmente la saliva, non deglutito nel modo corretto va nella trachea e quindi nei polmoni. Giorno dopo giorno questo porta ad una infiammazione degli alveoli polmonari, che diventano quindi sito perfetto per lo sviluppo di colonie batteriche. Il sistema immunitario non riesce a reprimere l'infiammazione a causa delle pessime condizioni in cui verte l'intero corpo del paziente; l'infiammazione quindi ha la possibilità di prendere il sopravvento e, col tempo, di arrivare ad uccidere l'individuo.
![]() |
| Appunti su: |
|
| Appunti Nutrizione | ![]() |
| Tesine Bambini | ![]() |
| Lezioni Bellezza | ![]() |