![]() |
|
| Appunti universita |
|
| Visite: 2741 | Gradito: |
Leggi anche appunti:IgieneIgiene Siamo sempre nel campo della prevenzione primaria della malattia Farmaci simpaticomimeticiFarmaci simpaticomimetici Per simpaticomimetico si intende una sostanza che BordetelleBORDETELLE Cocco-bacilli GRAM - Aerobi obbligati Catalasi + Utilizzano |
![]() |
![]() |
1.1-La colecistite acuta
La colecistite acuta risulta associata alla colelitiasi in più del 90% dei casi e, per converso, l'episodio flogistico acuto si manifesta solo nel 15-20% dei pazienti portatori di calcolosi della colecisti. I fattori di rischio della colecistite acuta sono gli stessi della colelitiasi tra cui l'età avanzata, il sesso femminile, alcuni gruppi etnici ( messicani e alcune popolazioni indiane d'America), l'obesità, la rapida perdita di peso, le droghe e al gravidanza. 1
1.2-Fisiopatologia della colecistite acuta
La colecistite acuta rappresenta una delle maggiori complicazioni della colelitiasi. Dal punto di vista fisiopatologico consiste in una flogosi acuta della parete colecistica scatenata dall'occlusione del dotto cistico da parte di una concrezione litiasica.
I precisi meccanismi con i quali la flogosi si sviluppa non sono ben conosciuti, ma in un 80% dei casi possono essere individuati all'inizio del processo infiammatorio microorganismi batterici (tra cui Escherichia coli, aerobi gram-negativi, enterococchi e un discreto numero di anaerobi). L'invasione batterica non è tuttavia considerata essere il primo evento della cascata infiammatoria, in quanto nel restante 20% dei pazienti non si ha crescita batterica sul campione chirurgico. 4
Si pensa che altri fattori possono iniziare il processo infiammatorio, tra cui mediatori (liso lecitina e prostaglandine), l'aumentata pressione luminale con conseguente danno ischemico di parete e, l'insulto chimico causato dal contatto con gli acidi biliari.
La spontanea risoluzione della colecistite acuta avviene in circa 5 o 7 giorni dall'inizio dei sintomi, grazie al ristabilimento della pervietà del dotto cistico. Nella maggior parte di questi casi avviene un ispessimento fibrotico della parete colecistica tipico della colecistite cronica. Infatti, nel 90% dei campioni chirurgici, analizzati dall'anatomopatologo, il pattern istologico è colecistite acuta sovrapposta a colecistite cronica.
Se la pervietà del dotto cistico non è ristabilita si verifica un'invasione della parete della coleciste da parte di cellule infiammatorie fino alla necrosi emorragica mucosale e murale.
La colecisti gangrenosa,che consiste in una necrosi trans murale della parete colecistica, viene osservata nel 21 % circa dei pazienti con colecistite acuta. 5 , 6
1.3-Criteri e modalità diagnostiche per la colecistite acuta
.3.1-Clinica
La colecistite acuta si presenta generalmente con dolore aumento della sensibilità in epicondrio di destra.
Il dolore addominale tende ad aumentare con il tempo. L'insorgenza del adolore avviene tipicamente nella regione sottocostale dx, anche se talvolta può comparire in epigastrio o in ipocondrio sx per poi migrare alla regione sottocostale destra. Spesso il paziente riferisce sintomatologia algica alla spalla dx o alla regione interscapolare. Possono associarsi raramente sintomi, quali, disappetenza, nausea e vomito. Può associarsi febbre che generalmente non supera i 38°c e solitamente non è accompagnata a brividi che, se presenti, suggeriscono un quadro infettivo complicato (ascessi o colangiti associate). La palpazione della regione costale dx rivela una reazione di difesa.Tipica delle flogosi acute della colesisti è la positività alla prova di Murphy. Questa manovra si esercita applicando una pressione a livello del punto cistico (situato alla intersezione tra il margine laterale del muscolo retto dell'addome e l'arcata costale), e chiedendo al paziente una inspirazione profonda. In caso di colecistite acuta la brusca comparsa del dolore determina un improvviso arresto dell'inspirazione. In circa il 35% dei pazienti è possibile palpare una colecisti distesa. 7
1.3.2-Esami di laboratorio
L'unico parametro bioumorale indicativo di colecistite acuta è la conta dei globuli bianchi che spesso però risulta negativa. Quando presente una leucocitosi è fortemente indicativa di empiema della colecisti e i valori oscillano in un range che va dai 10.000 ai 15.000. Altri parametri bioumorali anche se non indicativi di colecistite acuta sono indispensabili per confezionare una diagnosi differenziale e tra questi ricordiamo: la amilasi e gli enzimi cardiaci. 8
1.3.3-Radiogramma diretto dell'addome
L'esame radiografico dell'addome viene effettuato principalmente per escludere alcune diagnosi differenziali. Tuttavia vi sono alcuni segni radiografici indicativi di colecistite acuta:
Dilatazione di anse intestinali (segno di un possibile ileo paralitico);
Colecisti a porcellana (segno di una già pregressa colecistite cronica);
Possibile visualizzazione di un calcolo in sede colecistica (perché ciò avvenga il calcolo deve essere radiopaco e ciò avviene in circa il 15-20% dei pazienti)
Gas nella parete della colecisti (segno indicativo di colecistite enfisematosa). 9 ,10
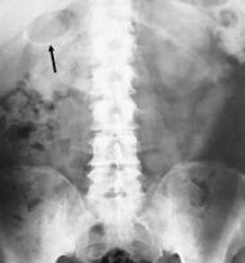
Fig .1 Radiogramma diretto di paziente con colecistite enfisematosa
si noti la presenza di aria nella parete della colecisti

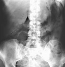
Fig 2 radiogramma diretto dell'addome. Numerose formazioni all'ipocondrio di destra
1.3.4-Ultrasuoni
L'ecotomografia è quasi da sempre indagine di prima istanza nello studio della patologia infiammatoria della colecisti, per la semplicità di esecuzione e i bassissimi costi. L'esame è effettuato a paziente inizialmente in decubito supino, con approccio sottocostale, in inspirazione profonda per poter utilizzare la finestra acustica epatica, e successivamente in decubito obliquo posteriore sinistro, con approccio intercostale, in espirazione profonda per allontanare l'aria dai seni costo diaframmatici. Si eseguono scansioni longitudinali e trasversali rispetto all'asse principale della colecisti.
I criteri morfologici ultrasuonografici tipici di colecistite acuta possono essere classificati in maggiori e minori.
Tra i maggiori:
- Calcoli in sede colecistica (presenti in più del 90% dei pazienti);
1) Spessore della parte colecistica di più di 3mm;
2) Fluido pericolecistico (segno di una attuale o imminente perforazione d'organo);
3)Slaminamento della parete (indicativo di edema infiammatorio);
4) Positività al segno ecografico di Murphy (dolore slatentizzato alla compressione della colecisti attraverso la sonda ecografica);
5) Gas intramurale (segno indicativo di colecistica enfisematosa);
I criteri minori
includono la presenza di sludge biliare nella colecisti e un aumento del suo
diametro trasverso di più di
Per confermare la diagnosi di colecistite acuta è necessaria la presenza di due criteri maggiori oppure uno maggiore e due minori.
La diagnosi della colecistite acuta è rapida, non invasiva, facilmente eseguibile e molto sensibile, anche se purtroppo, operatore dipendente.
La sensibilità e la specificità dell'esame ultrasonografico nella colecistite acuta sono rispettivamente dell'81-100% e del 60-100%. 13 ,14


Fig 3 Esame ultrasonografico dell'addome . slaminamento della parete colecistica
Fig 4 Esame ultrasonografico dell'addome . slaminamento della parete colecistica
1.3.5 -Tac
Anche se poco usata, in
ragione degli alti costi e dei lunghi tempi,
Ispessimento della parete colecistica di più
di
Presenza di una aureola circostante la colecisti (segno indicativo di edema infiammatorio);
Fluido pericolecistico in assenza di ascite;
Slaminamento della mucosa colecistica;
Presenza di gas intramurale:
Tra i minori:
Dilatazione della colecisti;
Presenza di sludge all'interno della colecisti
La diagnosi alla Tac richiede la presenza di due criteri maggiori o uno maggiore e due minori.

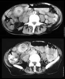
Fig 5 Tac addome superiore . intensa reazione infiammatoria pericolecistica e perdita dell'interfaccia tra colecisti e tessuti circostanti
1.3.6-Risonanza magnetica
Con
Nelle seguenze T2 pesate è possibile invece vedere presenza di calcoli, liquido pericolecistico e ascessi intramurali. 11 , 12

Fig 6 Risonanza Magnetica addome superiore . aumento dello spessore di parete della colecisti e presenza di formazioni litiasiche
1.3.7-Medicina Nucleare
L'applicazione della diagnostica radioisotopica fornisce importanti informazioni morfofunzionali della colecisti. Si utilizzano derivati dell'acido imminodiacetico marcati con tecnezio 99 metastabile, elettivamente captati dagli epatociti ed escreti con la bile (tale metodica prende il nome di colescintigrafia). Dopo la somministrazione del tracciante si provvede a seguirne il transito epatico e biliare mediante gamma camera. In caso di colecistite acuta la colescintigrafia dimostrerà un tempo di transito biliointestinale normale con mancata visualizzazione della colecisti anche dopo osservazione prolungata. Una infusione ev di morfina puo' essere usata per accelerare il transito di bile e rendere i tempi dell'esame più contenuti. La colescintigrafia è molto sensibile nella diagnosi di colecistite acuta ed è di prezioso valore quando i risultati ultrasonografici sono equivoci. Il valore predittivo negativo di un colescintigramma si aggira intorno al 98%. 11

Fig 7 colescintigrafia mancatodisegno della colecisti per ostruzione del cistico da parte di un calcolo
1.4-Terapia chirurgica
Fino all'inizio degli anni '90 il trattamento chirurgico della Colecistite Acuta ha avuto come gold standard l'approccio laparotomico. Successivamente , dopo essersi affermata come trattamento di scelta per la colelitiasi non complicata la tecnica laparoscopica è stata estesa anche agli eventi flogistici acuti ,tanto che oggi ne rappresenta il gold standard.
Numerosi studi sono stati condotti al fine di evidenziare le differenze e gli eventuali vantaggi che caratterizzano la colecistectomia laparoscopica rispetto a quella open.
Steven et all in uno studio condotto su 850000 pazienti hanno riportato degenze postoperatorie , morbilità e mortalità molto più bassi nei pazienti trattati con tecnica laparoscopica rispetto a quelli trattati con la classica tecnica aperta. 15
Attualmente , se rispettato, il timing ideale , che si stima essere 72 ore , si registrano tassi di conversione che oscillano dal 22 % al 33%. Le complicanze chirurgiche intercorrono raramente e sono: lesioni del coledoco e delle vie biliari( 0.6 %), lesioni vascolari (0.1 %), lesioni intestinali ( 0.1%) , emorragia post-operatorie ( 0.1%) 16
Generalmente il decorso post-operatorio dei pazienti sottoposti a colecistectomia laparoscopica per colecistite acuta è buono con una degenza ospedaliera media di circa 2 giorni. Le condizioni che possono complicare il decorso post-operatorio sono di tipo infettivo e sono molto frequenti nei casi di perforazioni, empiema colecistico o gangrena della colecisti.In queste situazioni si puo' arrivare allo shock settico con una mortalità che è stimata essere del 25%.
![]() |
| Appunti su: cos27C3A8 la pericolecistica, perche27c27e leucocitosi nella colecistite, slaminamento pareti colecisti, |
|
| Appunti Bambini | ![]() |
| Tesine Nutrizione | ![]() |
| Lezioni Bellezza | ![]() |