![]() |
|
| Appunti universita |
|
| Visite: 4350 | Gradito: |
Leggi anche appunti:Diabete MellitoDiabete Mellito Il termine diabete fu coniato da Areteo di Cappadocia (I Albinismo oculare tipo 1ALBINISMO OCULARE tipo 1 Nome Inglese: Ocular albinism (OA1) L'idrolizzato proteicoL'IDROLIZZATO PROTEICO 1.1 PRODUZIONE Nel presente studio |
![]() |
![]() |
La placenta
1 Perchè analizzare la placenta
La placenta è stata a lungo considerata come organo privo di patologia propria, un intermezzo tra madre e feto privo di significatività clinica e purtroppo ritenuta più materna che fetale. In realtà la placenta è un annesso fetale e condivide quindi con il feto lo stesso corredo genetico. Probabilmente oltre alla genetica, placenta e feto, in quanto esposti in utero allo stesso ambiente e alle medesime influenze, condividono anche altre caratteristiche, tra cui il potenziale di crescita. E' quindi utile l'analisi placentare in quanto, essendo questo annesso fetale testimone fedele di ciò che si è verificato in utero, permette la comprensione di eventuali anomalie riscontrate nel feto o nel neonato.
Lo studio morfologico della placenta riveste un ruolo importante dal punto di vista sia ostetrico che soprattutto neonatologico. E' stato infatti evidenziato che nel 16% circa delle morti perinatali l'analisi anatomopatologica della placenta svolge un ruolo cruciale nell'identificare le cause: si comprende quindi come questa analisi possa essere fondamentale per comprendere e addirittura prevedere l'outcome neonatale.
La comprensione del ruolo svolto dalla placenta nel danno feto-neonatale non è sempre agevole soprattutto considerando il fatto che le lesioni placentari sono ancora oggi poco definite e non sempre è chiara la loro eziopatogenesi o il loro significato clinico. Nonostante ciò l'analisi degli annessi fetali e lo studio delle relazioni eventualmente esistenti tra caratteristiche anatomiche e anatomopatologiche dei campioni analizzati e patologia feto-neonatale riveste un ruolo sempre più importante oggi.
Purtroppo troppo spesso, ancora oggi, la placenta viene gettata via e non analizzata anche quando dovrebbe, con conseguente carenza di un dato spesso fondamentale: la placenta dovrebbe essere infatti considerata un'ulteriore fonte di informazioni utili al pari dei rilievi clinici, laboratoristici e strumentali.
2 Indicazioni all'esecuzione dell'analisi anatomopatologica
La valutazione degli annessi fetali (disco coriale, cordone ombelicale, membrana amniocoriale) e del liquido amniotico fa parte integrante della routine ostetrica, venendo svolta in sala parto dopo ogni nascita. Allo stesso modo anche il peso della placenta viene sempre misurato e riportato nella cartella clinica sia della madre che del neonato.
L'analisi istopatologica della placenta viene eseguita non di routine e generalmente in casi rari. Solo in alcune realtà ospedaliere nazionali (tra cui quella pisana) lo studio anatomo-isto-fisiopatologico della placenta viene eseguito di routine per specifiche indicazioni Queste ultime sono di natura materna, fetale e neonatale (vedi Tab. 3.21).
|
Morte fetale |
|
Idrope fetale |
|
Rottura membrane >24 ore in gravidanza <36 settimane di gestazione |
|
Iperpiressia in travaglio o durante il parto (≥38°) |
|
Eclampsia, preeclampsia |
|
Liquido amniotico tinto o maleodorante |
|
Parto prematuro (<36 settimane di gestazione) |
|
IUGR grave, SGA (<10° p) |
|
Malattie autoimmuni materne (Lupus) |
|
Abuso di sostanze stupefacenti e alcol da parte della madre in gravidanza |
|
Sofferenza fetale o neonatale grave e prolungata |
|
Gravidanza gemellare con decorso patologico |
|
Patologia infettiva neonatale |
|
Patologia infettiva materna contratta nell'ultimo mese di gravidanza |
|
Tabella 3.21 Indicazioni all'esecuzione dell'esame anatomopatologico della placenta. |
3 Principali reperti patologici
Riportiamo di seguito i principali reperti patologici placentari riscontrati nelle gravidanze complicate da tossicodipendenza materna
Essa può essere provocata da agenti infettivi provenienti dal circolo materno o da fenomeni autoimmunitari (vedi Foto 3.4).


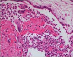
Foto 3.4 A sinistra villite linfoplasmacellulare multifocale. A destra villite infettiva.


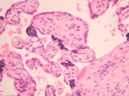
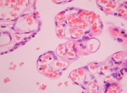
Foto 3.5 A sinistra, villi coriali del I trimestre di gravidanza con angiogenesi di tipo branching. A destra, placenta del III trimestre di gravidanza: nodi sinciziali.
Le arterie coinvolte possono sviluppare trombosi (con infarto dei cotiledoni placentari tributari) fino a rompersi (con formazione di ematomi retroplacentari o intraplacentari).

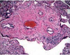
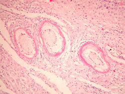
Foto 3.6 Aterosi di vasi utero-placentari.
La trombosi arteriosa determina l'infarto del cotiledone placentare tributario con conseguente alterazione degli scambi materno-fetali e dell'ossigenazione fetale. Inoltre, l'occlusione dei vasi fetali contenuti nei cotiledoni coinvolti, riduce lo spazio vascolare fetale nella placenta ed aumenta così le resistenze periferiche contro cui deve lavorare il cuore. Questo, insieme alla vasocostrizione indotta dall'ipossia, produce modificazioni di varia entità nella portata e nella pressione ematica di importanti distretti vascolari fetali (rene, SNC, ecc.).
La rottura di uno o più vasi materni in sede di impianto placentare (in genere secondaria ad ipertensione arteriosa materna) determina lo sviluppo di ematomi che possono avere localizzazioni diverse, in base a cui vengono differenziati: "ematomi retroplacentari", "ematomi marginali" e "emorragie intraparenchimali" ( o emorragie di Klein). L'ematoma retroplacentare è una raccolta ematica di dimensione variabile situato tra la lamina basale placentare e la parete uterina, cioè nel contesto della decidua spugnosa. L'ematoma può, se si è formato da lungo tempo, essere talmente voluminoso da sollevare la lamina basale e comprimere il disco coriale con conseguente ipossia e ischemia dei villi fino a quadri di infarti cotiledonari. Se l'ematoma si associa ad un soprastante infarto placentare circondato da un alone di tessuto con deposizione perivillosa di fibrina si parla di infarto della lamina basale (o del piatto materno), una lesione che ha tendenza a recidivare in successive gravidanze e che è associata ad un maggior rischio di mortalità e restrizione dell'accrescimento fetale. L'ematoma marginale sottocoriale si localizza alla periferia placentare e si estende oltre l'area di inserzione placentare scollando il corion dalla decidua. Tale localizzazione può essere primaria oppure conseguenza di una progressiva espansione del sangue raccolto primariamente a livello retroplacentare. Se la membrana che lo ricopre va incontro a rottura il sangue può riversarsi in cavità amniotica dove può formare coaguli di varia dimensione. A volte l'ematoma si fa strada nell'interstizio tra la membrana amniotica e la lamina coriale placentare formando così una raccolta ematica sulla faccia fetale. L'ematoma retroplacentare e sottocoriale sono spesso paucisintomatici (dolenzia uterina, ipercontrattilità) e privi di rilevanza clinica. Altre volte tali emorragie possono avere conseguenze terribili come il distacco intempestivo di placenta normalmente inserita, la minaccia di aborto e l'aborto vero e proprio. Tale variabilità nelle conseguenze fetali dipende dall'estensione del coagulo ematico e dal tempo che intercorre tra l'emorragia e il parto/decesso del feto.
![]() |
| Appunti su: necrosi fibrinoide placenta, villite placentare, lesioni placentari, villi coriali immaturi significato, infarto placentare iperplasia del trofoblasto, |
|
| Appunti Nutrizione | ![]() |
| Tesine Bambini | ![]() |
| Lezioni Bellezza | ![]() |