![]() |
|
| Appunti universita |
|
| Visite: 1928 | Gradito: |
Leggi anche appunti:Ruolo di Xbh1 nella formazione del sistema nervoso e nella retinogenesi di X. laevisRuolo di Xbh1 nella formazione del sistema nervoso e nella retinogenesi di X. laevis E' ToxoplasmosiToxoplasmosi Esistono circa 7 tipi di Toxoplasma, di cui solo T. Gondii è Rhabdoviridae - virus della rabbiaRHABDOVIRIDAE Sono ribovirus con genoma formato da una molecola di |
![]() |
![]() |
Osteoporosi
Sindrome caratterizzata dalla diminuzione della massa ossea con conseguente facilità alle fratture
Epidemiologia
L'osteoporosi è comune specialmente negli anziani e in particolare nelle donne.
Le manifestazioni cliniche più comuni sono le fratture vertebrali e la frattura del femore, evento questo che contribuisce in larga misura all'esito fatale di questa patologia nella terza età.
Eziologia
La massa ossea totale raggiunge il valore massimo durante la terza decade di vita ed è positivamente influenzata da un adeguato esercizio fisico e dall'apporto calcico. Dall'età di 35 anni circa, si assiste ad una riduzione della massa ossea che è più rapida nelle donne a causa dell'insorgere della menopausa.
Classificazione
Osteoporosi primitiva
Osteoporosi secondaria
Osteoporosi primitiva
Osteoporosi giovanile idiopatica
Osteoporosi senile
Osteoporosi post-menopausale
Osteoporosi localizzata dovuta a:
- disuso e paralisi
- atrofia di Sudek
Osteoporosi secondaria
Disordini endocrini:
- iperparatiroidismo
- sindrome di Cusching
- ipogonadismo
- ipopituitarismo
- diabete mellito
Emopatie
- mieloma multiplo
- leucosi
- linfomi
Osteoporosi da malnutrizione
Malattie gastrointestinali:
- epatopatie croniche
- M. di Crohn
- M. celiaco
Malattie infiammatorie croniche ed invalidanti:
- AR
- Sclerosi multipla
Corticosteroidi
Alcool
Fumo
Caratteristiche cliniche
Spesso sono correlate alla presenza di complicanze o di malattie sottostanti.
Fratture ricorrenti: anca, polso e vertebre sono le sedi più frequenti;
Sintomi acuti - Una frattura osteoporotica è tipicamente associata a:
- dolore intenso e localizzato
- contrattura muscolare periarticolare
- ridotta motilità articolare.
Le fratture vertebrali possono essere completamente asintomatiche e associate solo ad una riduzione dell'altezza e ad una progressiva cifosi (gobba della vedova).
Calo ponderale
Esami di laboratorio
I test di laboratorio vengono eseguiti per:
escludere altre cause di dolore osseo o altre malattie che possono determinare un quadro clinico o densitometrico simile all'osteoporosi;
individuare possibili fattori causali, consentendo una diagnosi di "osteoporosi secondaria" e quindi, dove possibile, un trattamento eziologico;
valutare la velocità di perdita della massa ossea;
Utili per escludere altre malattie o forme di osteoporosi secondarie:
VES
Emocromo completo
Transaminasi
TSH, FT4, FT3
Protidogramma
Creatininemia
Calcemia
Fosforemia
Paratormone sierico
25-OH-vitamina D sierica
Calcitonina
Fosfatasi alcalina totale
Calciuria /24h
Cortisoluria/24 ore
Marker specifici di turnover osseo*
Markers specifici di turnover osseo
Sono dosabili nel siero o nelle urine e sono elevati nei pazienti con osteoporosi ad elevato turnover osseo; si dividono in:
a) Markers della neoformazione ossea:
Fosfatasi alcalina (isoenzima osseo)
Osteocalcina
b) Markers di riassorbimento osseo:
Idrossiprolina
Piridinolina, desossipiridinolina.
Esami strumentali
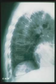
Il 30% della massa ossea viene persa prima che l'osteoporosi possa essere evidenziata dalle radiografie;
Evidenzia le fratture.
2. Tecniche densitometriche
Consentono misurazioni molto precise della massa ossea;
Consentono di cogliere perdite lievi di massa ossea, permettendo quindi una diagnosi precoce e un monitoraggio molto accurato della malattia;
La riduzione della massa ossea costituisce il principale fattore di rischio per le fratture scheletriche; il suo valore viene espresso come differenza rispetto alla popolazione giovane normale (T-score);
si può parlare di:
- osteopenia: il T-score è compreso tra -1 e -2,5;
- osteoporosi: il T-score inferiore a -2,5.
3. Biopsia ossea - Può confermare la presenza dell'osteoporosi ed escludere una concomitante osteomalacia.
Diagnosi
Clinica: fratture
Strumentale: densitometria
Esami ematochimici riguardanti il metabolismo osseo: sono quasi sempre nella norma.
Trattamento
1. Stile di vita.
- assunzione giornaliera di calcio
- assunzione giornaliera di vitamina D
- esercizio fisico
- eliminare il fumo e altri fattori di rischio
2. Terapia farmacologica:
a) Bifosfonati: riducono la capacità degli osteoclasti di riassorbire osso, riducono il numero totale e ne accellerano l'apoptosi:
- Alendronato
- Risedronato
b) Calcitonina: agisce sugli osteoclasti, riducendo il riassorbimento osseo; può essere assunta anche per via nasale;
c) Altri farmaci:
- estrogeni: sono efficaci nella prevenzione della perdita ossea in donne in peri-postmenopausa;
- raloxifene: modulatore selettivo del recettore per gli estrogeni (SERM)
- teriparatide: stimola la neoformazione ossea.



Malattia di Paget
Disordine dell'osso unifocale o multifocale con osteoporosi irregolare accompagnata da neoformazione ossea;
Eziologia
La causa è sconosciuta; sono state osservate particelle simil-morbillose nelle ossa affette. Esiste una caratteristica distribuzione geografica. È molto rara in Asia e rarissima in Africa
Clinica
Prevalentemente coinvolti gli anziani;
Spesso asintomatica - modificazioni radiografiche;
Il dolore è spesso notturno e non da posizione;
Anomalie scheletriche :
- tibia a sciabola
- ingrossamento del cranio
- interessamento del rachide con perdita dell'altezza (cifosi o scoliosi) e stenosi spinale
- le ossa interessate possono essere calde per iperafflusso di sangue
Sindromi da compressione nervosa;
Osteoartrosi a causa dell'incongruità articolare;
Comuni le fratture patologiche;
Sordità (dovuta a otosclerosi);
Insufficienza cardiaca ad alta gittata;
Un sarcoma osseo può comparire nell'1% dei casi.
Esami di laboratorio
Idrossiprolina urinaria: misura il riassorbimento osseo, è tipicamente elevata;
Fosfatasi alcalina ossea: è l'indagine più utile per monitorare l'attività di malattia e valutare i risultati della terapia.
Reperti radiografici
Lisi ossea: riflette l'aumentata attività osteoclastica;
Sclerosi: riflette l'aumentata attività osteoblastica;
Aumento volumetrico dell'osso;
Lesioni litiche a "fiamma": riscontrabili a carico delle ossa lunghe;
Utile anche la scintigrafia ossea: può aiutare nel determinare l'estensione del coinvolgimento osseo, tuttavia non dovrebbe essere usata per porre diagnosi.
Terapia
Non esiste terapia eziologia. L'indicazione all'eventuale trattamento è data dalla sintomatologia presente. In realtà molti pazienti non necessitano di nessuna terapia. I problemi per cui spesso è richiesto l'intervento del medico sono: dolori ossei, deformazione progressiva dei segmenti scheletrici, ipercalcemia o ipercalciuria, scompenso cardiaco.






![]() |
| Appunti su: |
|
| Appunti Bambini | ![]() |
| Tesine Bellezza | ![]() |
| Lezioni Nutrizione | ![]() |