![]() |
|
| Appunti universita |
|
| Visite: 4826 | Gradito: |
Leggi anche appunti:PolmonitiPolmoniti Le polmoniti sono caratterizzate, essenzialmente, dal consolidamento Febbre bottonosaFebbre bottonosa Eziologia ed epidemiologia. La febbre bottonosa, o tifo Patologia respiratoria - bambinoPATOLOGIA RESPIRATORIA - BAMBINO Verranno trattate le principali patologie respiratorie |
![]() |
![]() |
Sarcoidosi
È una malattia granulomatosa ad eziologia non nota e patogenesi immunologica. Può avere decorso acuto, subacuto (i sintomi variano d'intensità ma non si risolvono) o cronico.

La storia naturale per stadi
istologici prevede:
granuloma non caseoso, le
cellule alveolari vanno ad organizzare dei granulomi in risposta
all'infiammazione cronica Il test di Kvaim per la sarcoidosi è ormai inutilizzato perchè si effettuava una intradermoreazione con un estratto filtrato di granuloma di un paziente con accertata sarcoidosi.
L'antigene che scatena la reazione granulomatosa è forse di origine batterica e forse hanno un qualche ruolo o il micobatterio della tubercolosi o il Propionibacterium acnes. In più si sviluppa una risposta TH1 con comparsa delle cellule effettrici.
La diagnosi differenziale va posta con le malattie infettive polmonari, le granulomatosi da miceti o quelle professionali, le polmoniti da ipersensibilità di tipo IV come la polmonite degli uccelli o degli acari dei silos, granulomi di tipo neoplastico come può essere un linfoma a localizzazione polmonare, cirrosi biliare polmonare e altre malattie di tipo immunologico.
Nella sarcoidosi i sintomi sistemici sono molto marcati : c'è astenia, facile stancabilità, anoressia, calo ponderale, febbre e debolezza ingravescente.
I sintomi più frequenti sono legati a :

apparato
respiratorio = nel 90% dei casi l'interessamento polmonare può non essere
eclatante e decorrere in maniera subclinica. Si presentano : tosse secca
persistente per lo più notturna, dolore toracico a crisi prevalentemente
inspiratorio, dispnea inizialmente da sforzo, rara l'emottisi al contrario
della granulomatosi di Wegener, insufficienza respiratoria. La patologia
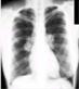
polmonare può essere stadiata in fasi radiologiche :
1° stadio = linfadenopatia ilare bilaterale con linfonodi calcifici, può apparire rinforzo della trama bronchiale
3° stadio =
coalescenza dei granulomi mai cavitati con infiltrati polmonari
4° stadio = scomparsa della linfadenopatia, ma si può evidenziare una diffusa fibrosi interstiziale
Nel lavaggio broncoalveolare (BAL) si effettua la conta numerica delle cellule e si procede alla tipizzazione. In caso di sarcoidosi le cellule infiammatorie superano il milione/mL con un aumento della percentuale dei linfociti T CD4+ e con rapporto CD4/CD8 a favore dei linfociti T CD4+.
Inoltre, non solo i linfonodi ilari, ma qualsiasi stazione linfonodale può essere colpita. I linfonodi appaiono ingranditi, mobili sui piani sottostanti, non confluenti e non dolenti.
La sindrome di Lofgren è la massima espressione di sarcoidosi acuta caratterizzata da linfadenopatia, eritema nodoso e artralgia.
apparato cardiovascolare = i granulomi hanno un particolare tropismo per il tessuto cardiaco e di conduzione ; la presenza di queste formazioni altera la normale citoarchitettonica con conseguenti alterazioni del ritmo. Può esserci una disfunzione dei muscoli papillari che può indirizzare ad un infarto ; cardiomiopatia restrittiva con scompenso cardiaco congestizio ; pericardite.
Cute = si osservano : eritema nodoso sulla superficie estensoria delle gambe ; tumefazioni dolenti calde traslucide non specifiche della sarcoidosi ma indicano solo una disregolazione del sistema immunitario ; lupus pernio poco tendente all'ulcerazione e localizzato per lo più al volto e alle mani.
Occhio = presenza di uveite anteriore con congestione vasale pericorneale e presenza di inclusi nella camera vitreale ; può esserci ipopion (versamento).
Sistema Nervoso = paralisi del VII nervo cranico
(paralisi di Bell) perchè molto spesso nella sarcoidosi sono interessate anche
le ghiandole salivari perchè sede del MALT ; tra queste rientra anche la
parotide che, attraverso il suo parenchima, dà passaggio al nervo faciale.
Eventuali patologie destruenti il tessuto ghiandolare possono portare alla
degenerazione della branca nervosa e conseguente paralisi.
Ancora possono essere presenti neuropatie periferiche, lesioni cerebrali
occupanti spazio (quindi i sintomi sono focali), ipopituitarismo, diabete
insipido se è interessata la neuroipofisi con alterato rilascio di ADH e
vasopressina.
Rene = interessato con nefrite interstiziale, calcolosi da ipercalciuria perchè i linfociti attivati secernono elevate quantità di vitamina D che, una volta attivata, favorisce il riassorbimento di calcio a livello renale, l'assorbimento intestinale di fosforo e calcio ed i processi di mineralizzazione dell'osso, aumentando in questo modo il carico di calcio a livello renale.
Iter diagnostico prevede: anamnesi e l'esame obiettivo; biopsia; RX torace; test di funzionalità respiratoria; ECG e un esame oftalmologico.
Per decidere se eseguire o meno la terapia è necessario capire se la malattia è in una fase attiva e se sì, stadiarla, in quanto la somministrazione di glucocorticoidi può aggravare una patologia renale o cardiaca in associazione.
Per questo motivo si ricorre alla scintigrafia con Gallio 67. Nello stadio attivo le sedi del MALT sono ipercaptanti e a livello della testa si può evidenziare il cosiddetto "segno del panda".
Ovvero le
ghiandole lacrimali, le parotidi, le sottomandibolari e l'anello orofaringeo
del Waldayer disegnano questo quadro caratteristico che ricorda la faccia di un
panda.
Inoltre, VES e PCR sono aumentate; c'è ipogammaglobulinemia policlonale; anemia, leucopenia, piastrinopenia forse per splenomegalia; aumento dei livelli di ACE, sIL-2R, neopterina e lisozima; ipercalcemia e/o ipercalciuria.
La terapia consiste essenzialmente nel wait and watch.
Nei casi gravi e ingravescenti si utilizzano i corticosteroidi ad alti dosaggi: infatti fino a 0,5 mg/Kg di peso corporeo i corticosteroidi hanno effetto antinfiammatorio; mentre tra 0,5-1 mg/Kg di peso corporeo gli effetti sono immunosoppressivi. Gli effetti collaterali sono evidenti anche a dosaggi bassi e dipendono dalla durata del trattamento.
Nella fase di mantenimento si possono associare immunosoppressori quali la ciclosporina, il metotrexano e l'azatioprina.
![]() |
| Appunti su: segno del panda sarcoidosi, segno del panda, segno del panda lambda, sarcoidosi e ves e pcr, ghiandole salivari a panda, |
|
| Appunti Nutrizione | ![]() |
| Tesine Bellezza | ![]() |
| Lezioni Bambini | ![]() |